ODONTOIATRA > PIÙ SPAZIO AI TESSUTI MOLLI
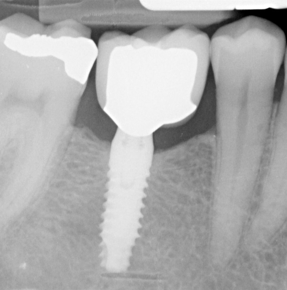
La morfologia convergente del collo Prama permette di recuperare la porzione di tessuto molle che con un impianto transmucoso tradizionale verrebbe occupata dal titanio del collo implantare. La convergenza di Prama fa sì che i volumi intorno alla porzione coronale dell’impianto vengano invece riempiti di coagulo e di importanti fattori di ricrescita, che si trasformano in tessuti molli spessi e funzionali.
L'ispessimento della gengiva che circonda il collo Prama rappresenta un beneficio indiscusso, soprattutto nei pazienti con biotipo più sottile, nei quali questo innovativo impianto apporta un ispessimento dei tessuti molli senza ricorrere a terapie rigenerative.
La stabilizzazione del connettivo, resa possibile dalla morfologia convergente e dalla microrigatura UTM, fa sì che tutto ciò che vi è al di sotto rimanga protetto e isolato da potenziali attacchi batterici, e che quindi l’osso si mantenga preservato in maniera efficace e a lungo, come ampiamente dimostrato dalla clinica.

Immagine per gentile concessione del Dott. Andrea Di Domenico

Immagine per gentile concessione di Dentisti Vignato

Immagine per gentile concessione del Dott. Dario Andreoni

Immagine per gentile concessione del Dott. Marco Brasili

Immagine per gentile concessione di Dentisti Vignato

Immagine per gentile concessione del Dott. Luigi Paolo Sandri

Immagine per gentile concessione del Dott. Andrea Di Domenico

Immagine per gentile concessione del Dott. Marco Gargari.
Go to link
Immagine per gentile concessione del Dott. Fortunato Alfonsi

Immagine per gentile concessione di Dentisti Vignato

Immagine per gentile concessione del Dott. Giuseppe Pellitteri

Immagine per gentile concessione del Dott. Giuseppe Pellitteri

Immagine per gentile concessione del Dott. Ruggero Bertolini

Immagine per gentile concessione del Dott. Guillermo Cabanes Gumbau
Go to link
Immagine per gentile concessione dei Dentisti Vignato

Immagine per gentile concessione del Dott. Marco Csonka

Immagine per gentile concessione del Dott. Fabio Gorni

Immagine per gentile concessione del Dott. Stefano Conti
Go to link
Immagine per gentile concessione del Dott. Davide Guglielmi
Go to link
Immagine per gentile concessione del Dott. Giuseppe Pellitteri
Go to link
Immagine per gentile concessione del Dott. Luigi Canullo

Immagine per gentile concessione del Dott. Gioacchino Cannizzaro