ODONTOTECNICO > FORO VITE ANGOLATO
L’Interfase per foro angolato mi consente di realizzare una corona avvitata che da un lato esaudisce le richieste del professionista più esigente, dall’altro è espressione del mio punto di vista estetico: una protesi senza condizionamenti.
​
Riccardo Finotello – Dentalfin (VI)

FORO VITE ANGOLATO: LA SOLUZIONE PER IL SETTORE ESTETICO È PIÙ FACILE DI QUANTO CREDI

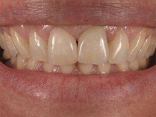
Situazione Iniziale: guarigione dei tessuti a 2 mesi, dopo condizionamento con provvisorio immediato.


Modello mastro con gengiva rimovibile.


Scelta del componente protesico: l’interfase con vite dinamica permette di dislocare palatalmente il foro vite, mentre il profilo convergente del pilastro, senza spalla di appoggio, continua idealmente il collo dell’impianto, consentendo di posizionare il margine della corona secondo un profilo anatomico.


Stratificazione e cottura della corona protesica.

Controllo della forma e rifinitura.



Corona finalizzata.

Vista laterale dell’inclinazione del foro vite.


Consegna della protesi.

Interfase senza base di appoggio e con foro vite palatale