top of page

Case report: Prama in the aesthetic area of a periodontal patient

Dott. Paolo Calabrò

 

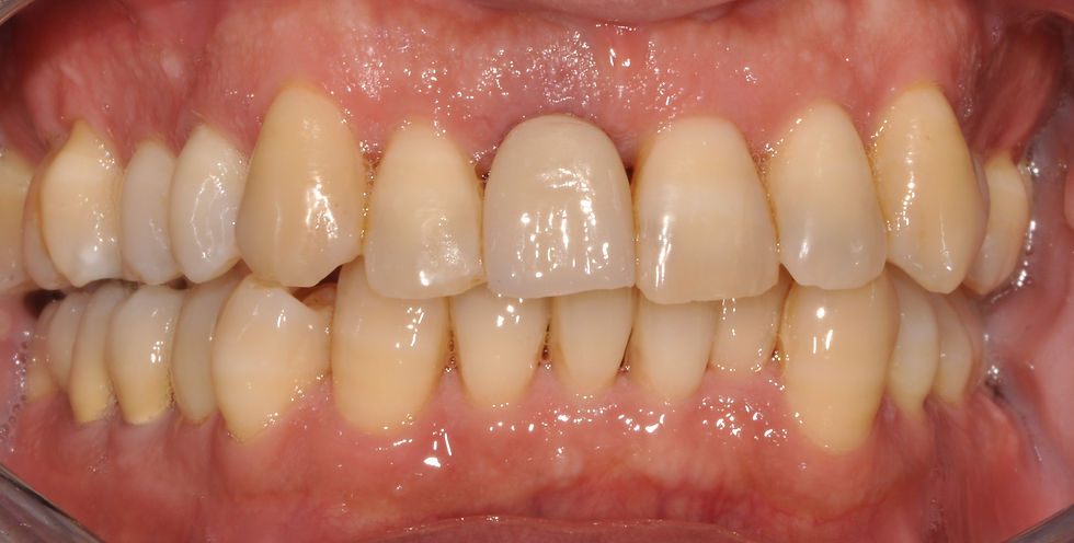
Patient of 46 years in apparent good health, non-smoker, periodontal disease in maintenance, arrives under our observation for a preternatural mobility of 1.1, reporting a trauma on this element. The intraoral inspection shows third degree mobility and the radiographic examination shows a fracture of the apical third of this element. In agreement with the patient, the tooth and the fractured fragment were extracted and an immediate post-extraction implant with immediate loading was performed, after exposing the risks of this procedure. After the atraumatic extraction, also the apical fragment was extracted and a PRAMA 3.8x13 implant was inserted, obtaining a primary stability of 70N. An immediate provisional restoration of this implant was carried out with a commercially available post which was adapted for this purpose; the healing times were awaited as described on the captions to images. We proceeded to the optical impression and in this phase we realized that there was a fragment of temporary cement left on the gum, leaving an impression on it. During the optical impression, we were able to note how the gum, once the fragment of cement has been removed, perfectly adapted on the crown profile and restored. We then proceeded to a second individualized provisional restoration, made by Sweden & Martina cad-cam center, on a customized post. During the following weeks, the emergence profile of the provisional restoration was then adapted to obtain a gingival scallop as natural as possible, in accordance with the subject's periodontal disease. A laser melting and ceramic crown was then delivered to the patient, then monitored with regular follow up controls.

Bollino_NEW_casi_sito_prama.png
bottom of page