Use of Prama RF implant in grafted site
Dr. Giuseppe Pellitteri, Pellitteri Martini Laboratory, Bolzano Pictures by Martina Cestarollo
​
The patient came at our observation reporting swelling and sensation of mobility of the element 2.5, such as to avoid the correct hygiene of the area. The element was treated 10 years earlier. Radiological examination showed a vertical root fracture. The vestibular probing was very deep, while mesially and distally it was almost zero, therefore it was decided to elevate a full thickness flap and to extract the tooth. Once the flap was opened, the lesion appeared very extensive, especially periapically, where the radicular pin had fractured the root. After the extraction of the element, it was decided to perform regenerative therapy based on a combination of autologous bone and deproteinized bovine bone mineral (DBBM), added with amoxicillin, covered by a resorbable Ossix™ Plus membrane. After 7 months, the flap was open again to place a Prama RF, submerged up to the cylindrical portion of the convergent neck, and a temporary crown was immediately positioned. The temporary prosthesis was obtained by using a pre-made crown prepared by the laboratory, relined with resin. At 3 months it was possible to proceed with the final prosthesis, with its margin closing on the neck of the implant, which aesthetically finalized the case as planned. At 3 years the hard and soft tissues were stable and perfectly healthy.
​
“The possibility of closing the crown either on the abutment or on the neck of the implant allows me to deal only with the best surgical positioning of the implant, which I can modulate from case to case. This flexibility of the implant in relation to my needs is the aspect of Prama that I most appreciate.”
cit. Dr. Giuseppe Pellitteri

Initial case: element 2.5, endodontically treated 10 years earlier by another study, is swollen and painful, with a sensation of mobility such as to compromise the daily hygiene maneuvers.

Initial case: element 2.5, endodontically treated 10 years earlier by another study, is swollen and painful, with a sensation of mobility such as to compromise the daily hygiene maneuvers.

Intraoral radiograph that reveals a very large vertical root fracture.

At the flap elevation, a very large lesion of the bone around the root’s fracture is evident.

Extracted element.

Exposure of the lesion for its three-dimensional evaluation.

Exposure of the lesion for its three-dimensional evaluation.

Bone regeneration obtained by a combination of autologous bone and deproteinized bovine bone mineral (DBBM), added with amoxicillin.

Bone regeneration obtained by a combination of autologous bone and deproteinized bovine bone mineral (DBBM), added with amoxicillin.

Relaxation incisions to obtain a coronal repositioning of the flaps that does not apply tension to the underlying regeneration process.

Healing of the site at 7 months.

Healing of the site at 7 months.

Preparation of the surgical site.

Preparation of the surgical site.

Clinical and radiographic images of the placement of the Prama RF implant, submerged up to the cylindrical portion of the convergent neck.

Adjustment of the temporary abutment before relining a pre-made temporary prosthesis prepared by the laboratory.

Aspect of the temporary prosthesis.

Aspect of the temporary prosthesis.

Positioning of the temporary rehabilitation and peri-implant soft tissues management: a roll flap technique is chosen to recover the aesthetics of the radicular prominence.

Positioning of the temporary rehabilitation and peri-implant soft tissues management: a roll flap technique is chosen to recover the aesthetics of the radicular prominence.

Healing at 3 months.

Healing at 3 months.

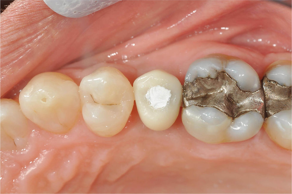
Positioning of the final post: soft tissues are thickened and already partially adapted.

Positioning of a single cemented crown that closes on the neck of the implant.

Positioning of a single cemented crown that closes on the neck of the implant.

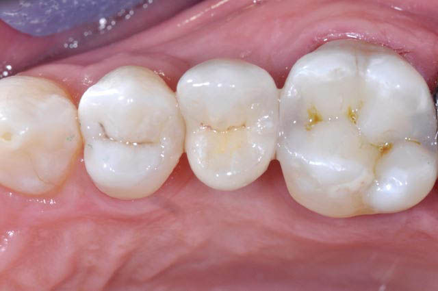
Clinical control and radiograph after 3 years, attesting the stability of the results over time.

Clinical control and radiograph after 3 years, attesting the stability of the results over time.

Clinical control and radiograph after 3 years, attesting the stability of the results over time.