Peri-implant tissue remodeling after guided bone regeneration and late implant placement in aesthetic zone: 2-year clinical and radiographic outcomes
Dr. Davide Guglielmi, Dr. Roberto Castellano, DT Massimo Marzetta, Solbiate Olona (VA)
The patient, a 48-year old female, came to our observation referring pain in the right maxilla. The clinical examination showed a fistula in the buccal mucosa of element 1.5. This element supported a crown for more than ten years and was hypermobile at the palpation. The radiographic examination shows a radiolucent area at the level of the middle third and apical third of the root. The visit ended with the diagnosis of a vertical root fracture. According to the patient, the decision was to proceed with the extraction of the fractured element, alveolar bone regeneration, insertion of a fixture and the subsequent prosthetic finalization. During the first surgical step, the extraction was performed, and the bone defect was filled with deproteinized bovine bone mineral particles, covered with a resorbable collagen membrane. After seven months, the second surgical step involved the crestal incision in the edentulous area and the insertion of a Prama implant in the regenerated site. Then, waiting for the biological healing, the implant-prosthetic rehabilitation was completed.
The success of implant-supported restorations depends on the interaction between several anatomical, technical, surgical and prosthetic factors. The prosthetically driven implant placement allows the optimal support of the surrounding soft tissues and a satisfactory emergence profile of the final prosthesis.
​
As told by the proceedings of the 4th Consensus Conference of the European Association for Osseointegration (EAO - 2015) the implant treatment success is determined by:
-
satisfactory primary stability;
-
absence of further ridge augmentation procedures during implant placement for the management of residual dehiscence or fenestration defects;
-
implant survival and implant success;
-
marginal bone levels;
-
negative BOP (Bleeding On Probing) and PI (Plaque Index) indices.
In this case, it seems that all the primary and secondary goals was achieved and confirmed at the 2 years follow up.
​
“We had never found an implant that, thanks to its unique features, combines a high aestethic prosthetic result with the maximum respect for peri-implant tissues.”
cit. Dr. Davide Guglielmi, Dr. Roberto Castellano

Initial clinical images of the crown on the 1.5.

Initial clinical images of the crown on the 1.5.

Radiographic image of the crown on the 1.5. The periapical radiograph shows the radiolucent lesion around the third middle and apical of the root.

First surgical step: an intrasulcular flap is raised and the root fracture is exposed after removing the crown.

At the removal of the fractured root, the bone defect is evident.

Bone regeneration: the alveolus is filled with deproteinized bovine bone particles covered with a resorbable collagen membrane.

Tension-free secondary wound closure with PTFE sutures. Sutures are removed after 2 weeks

Vestibular and occlusal view of the post-surgical site after 1 month from the augmentation material insertion: the initial phase of healing and the progressive volumes recovery can be appreciated.

Clinical image after 7 months from the regeneration: the radiographic examination shows adequate bone volume; the healing of the soft tissue is completed. Therefore, we decide to proceed with the second step of the surgery.

Radiographic after 7 months from the regeneration: the radiographic examination shows adequate bone volume; the healing of the soft tissue is completed. Therefore, we decide to proceed with the second step of the surgery.

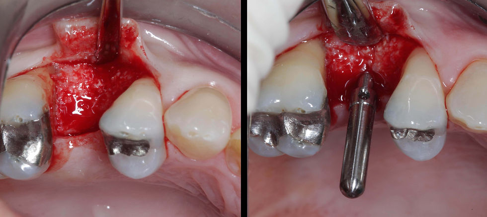
Second surgical step: the flap is open, observing that the bone volumes are regenerated. A parallelism pin is inserted after surgical site preparation, to verify the implant insertion axis.

Prama implant in place and insertion of a surgical cover screw. The surgery is completed with a tension-free secondary wound closure with PTFE sutures; removed after 2 weeks.

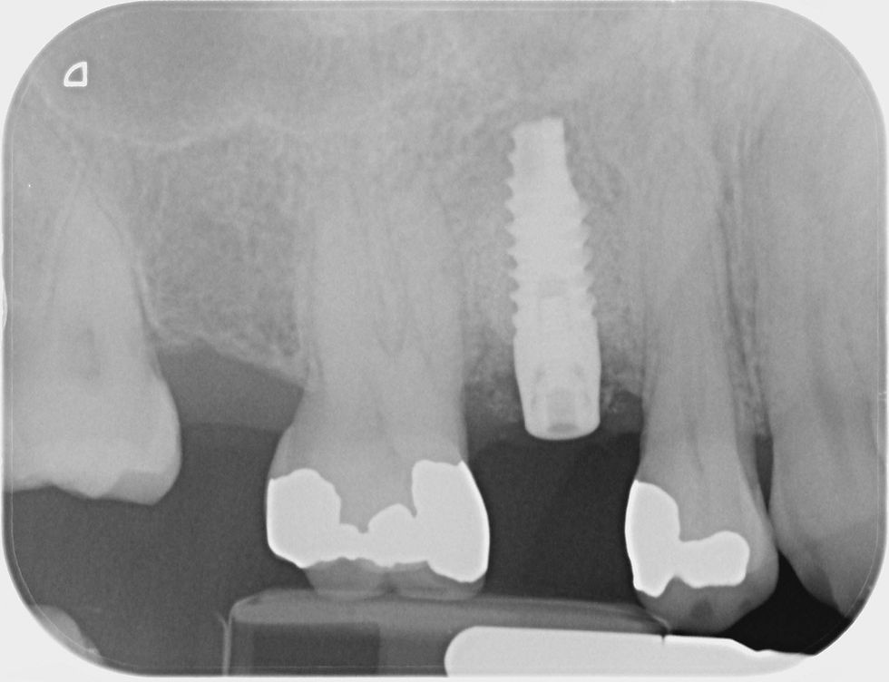
Post-surgical radiograph to verify the correct insertion of the Prama implant.

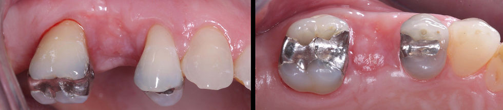
4 months after surgery, the volumes are restored, and the soft tissues look healthy.

Impression and temporary crown production.

Temporary crown in situ: note the ischemia for the conditioning of the soft tissue through the progressive modification of the temporary crown.

4 months after the surgery, the site is open to take the final impression: the excellent healing of peri-implant soft tissue can be appreciated.

After 4 months from the surgery, the final crown is delivered.

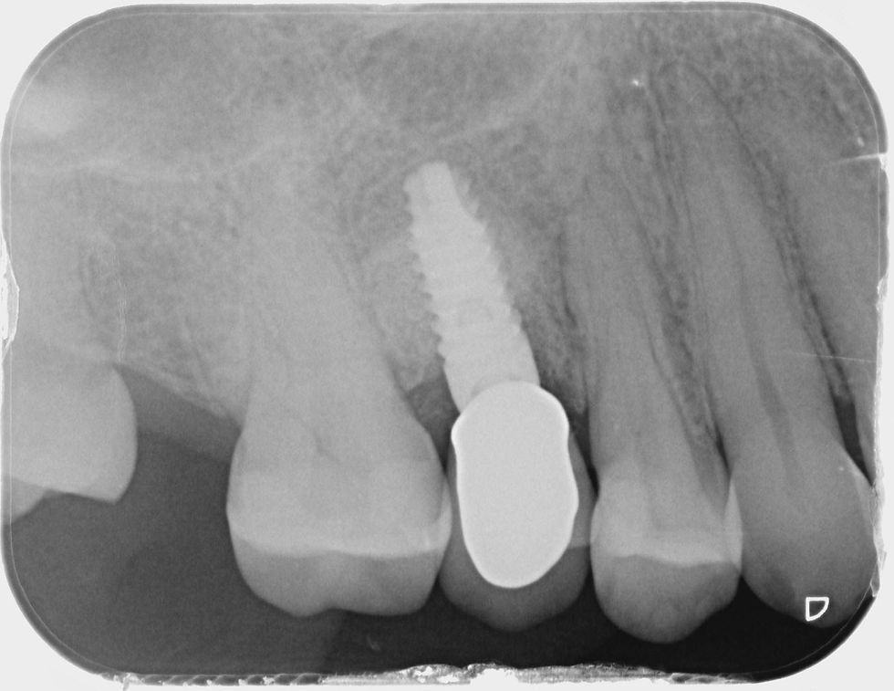
Radiographic image after 1 year from the extraction: peri-implant bone volumes are stable over time.

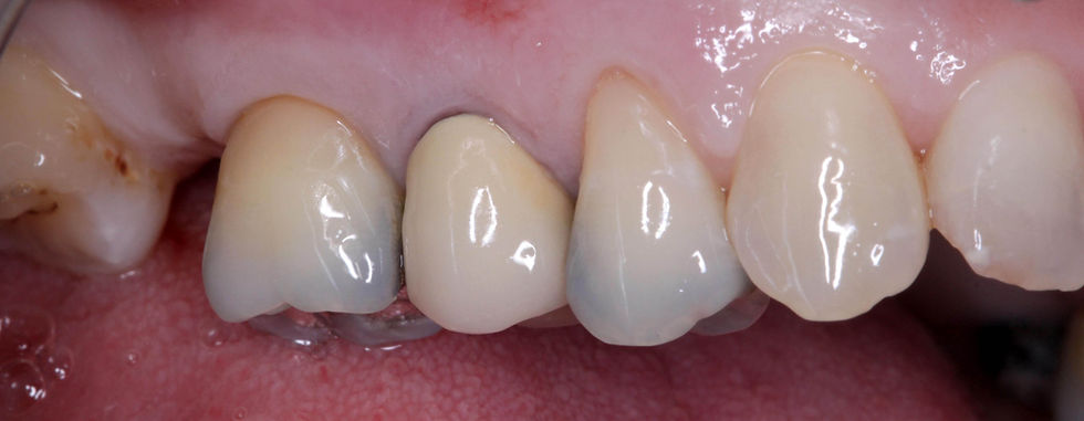
2 years follow-up. A proper maturation of the peri-implant tissues can be appreciated, with a subsequent optimal aesthetic result. The radiograph confirms the bone volumes maintenance. Physiological probing and negative bleeding indexes are evidence of the excellent peri-implant connective density around the convergent UTM neck of Prama implant.