Delayed loading of a Prama RF implant in 1.4 position
Dr. Costantino Vignato, Dr. Giuseppe Vignato, DT Riccardo Finotello, Vicenza
​
The patient came to our observation for the restoration of the premolar in position 1.4. After the extraction of the root of the compromised element, a Prama RF implant was inserted.
​
“Thanks to the peculiar morphology of the neck, Prama implant makes it possible to save bone peaks supporting soft tissues. In this case, the synergy between implant and healing abutment leads to healthy and mature tissues already at the time of the provisional crown positioning, no need to wait for further time to complete the case.”
cit. Dr. Costantino e Dott. Giuseppe Vignato

Initial clinical case.

Clinical picture and radiograph of the implant in situ with the healing screw inserted.

Clinical image at the removal of the healing abutment: soft tissues are healthy and stable, supported by the underlying bone volume, which is preserved thanks to the morphology of the Prama RF implant.

The temporary crown is placed two days after the insertion of the Prama RF implant.

After 8 weeks of osseointegration, the temporary restoration is removed. The conformation of soft tissues that have adapted to the shape of the temporary can be noted.

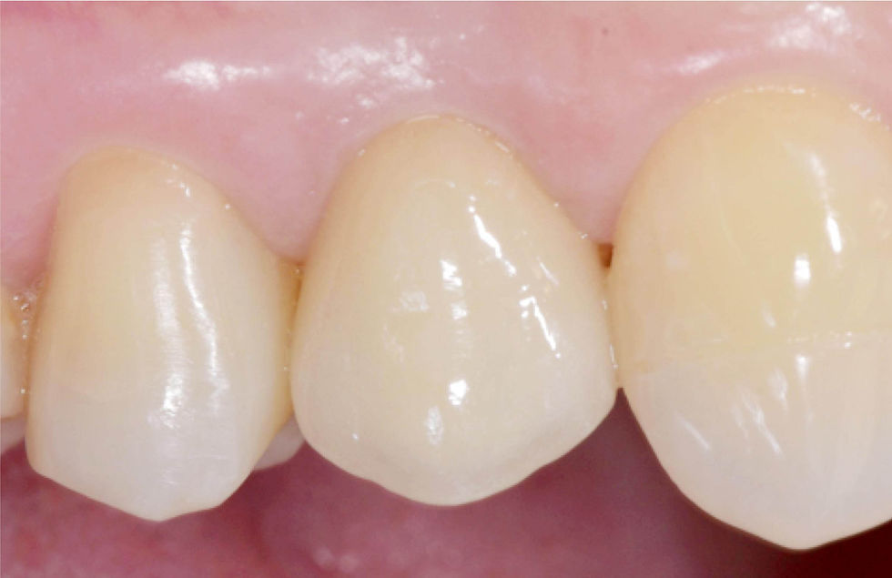
Definitive crown.

Clinical images at the delivery of the definitive crown.

Clinical images at the delivery of the definitive crown.

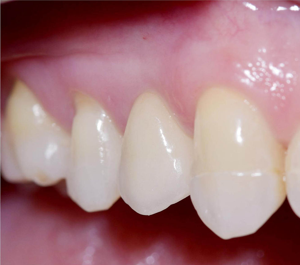
Two years follow up clinical images.

Two years follow up clinical images.

Radiographic images of the implant and the crown in place, at the time of the insertion and after 2 years.