Prama RF and flapless rehabilitation of a premolar element
Dr. Andrea D. Di Domenico, DT Maurizio Apicella, DT Alessandro Diletto, Cava De’ Tirreni (SA)
​
The patient came to the clinical observation requesting to restore the element 1.4 and improve the appearance of the vestibular atrophic tissues. She was a foreigner remaining in Italy for a short period, so she asked for a non-invasive surgery to be carried out in as few sessions as possible. Having evaluated the CBCT examination and carried out the probing, it was decided to proceed with the insertion of the intramucosal Prama implant with flapless technique, to manage the crestal bone height differences with the implant neck and using an Ossix™ Volumax membrane as space maintainer for the vestibular growth of soft tissues. An immediately chairside temporary crown was made with the aim of conditioning tissues in the early healing process. The volume of the radicular prominence was modeled inserting a crosslinked collagen membrane in an envelope flap, so as to obtain a natural aesthetics.
​
“The possibility of performing a minimally invasive flapless surgery, restoring the crestal bone levels thanks to the convergent morphology of the neck, is an option that I could only approach with Prama.”
cit. Dr. Andrea D. Di Domenico

Frontal, lateral and occlusal views of the atrophic area. GO TO THE VIDEO

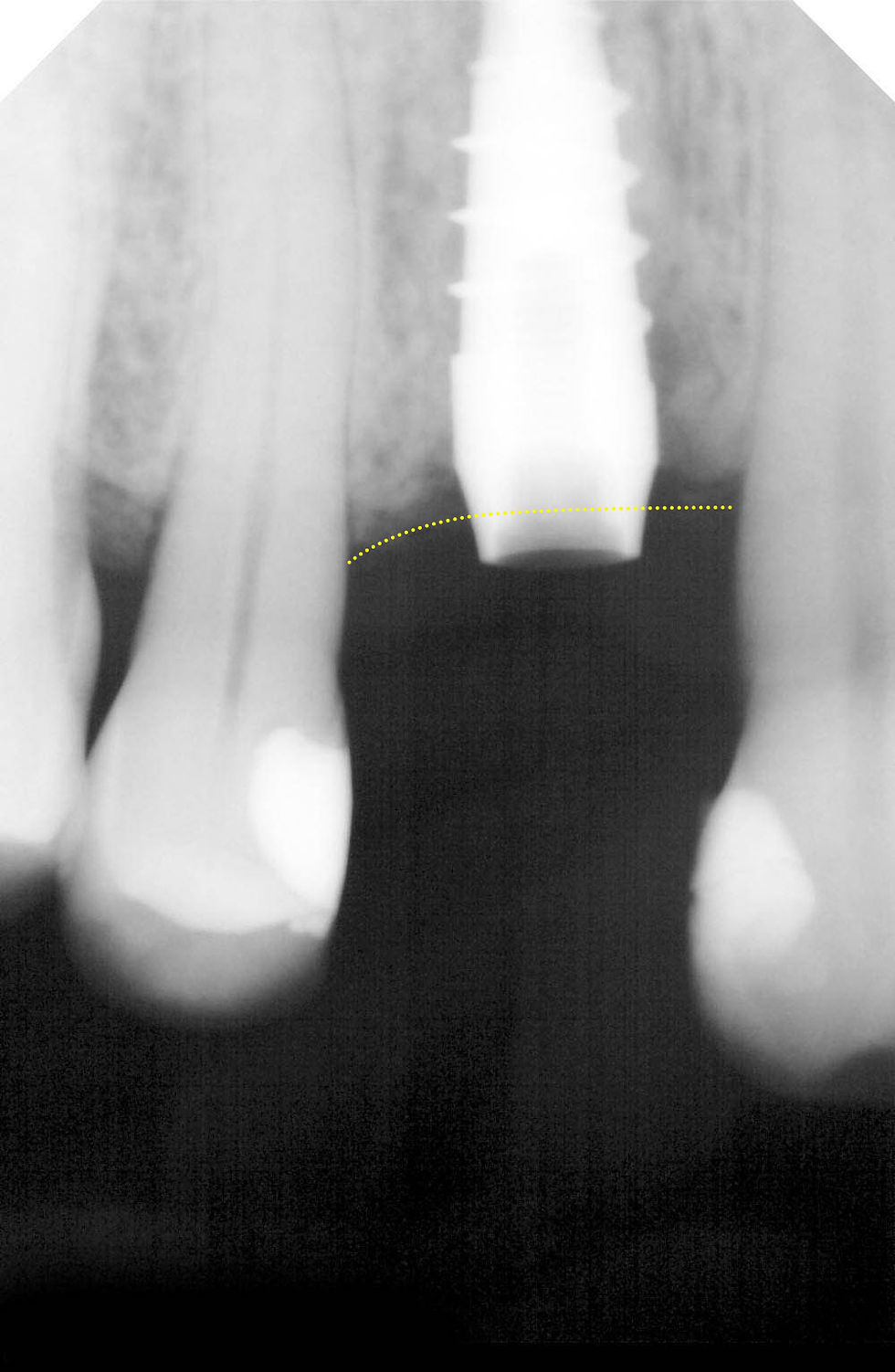
Radiographic control during implant insertion, to manage the irregular progression of the bone crest with the 2.8 mm neck of Prama RF.

Radiographic control during implant insertion, to manage the irregular progression of the bone crest with the 2.8 mm neck of Prama RF.

Radiographic control during implant insertion, to manage the irregular progression of the bone crest with the 2.8 mm neck of Prama RF.

Clinical view of the positioning of the neck of the Prama RF implant. The implant connection is placed about 1 mm below the gingival margin.

Positioning of a titanium temporary engaging post and following reduction in height according to the occlusal plane.

Adjustment and relining of the temporary crown with Reef resin on the reduced post, keeping the screw hole free. GO TO THE VIDEO

Finishing and polishing of the temporary crown that closes on the post, to leave space for the tissues so that they can heal and thicken.

Finishing and polishing of the temporary crown that closes on the post, to leave space for the tissues so that they can heal and thicken.

Vestibular incision and insertion of an Ossixâ„¢ Volumax membrane. GO TO THE VIDEO

Positioning of the finished temporary rehabilitation supporting the soft tissue.

Vestibular tissue augmentation at 10 days: granulation tissue is still present in the area.

Vestibular tissue augmentation at 10 days: granulation tissue is still present in the area.

Healing at 3 months.

Tissues are healed, but still not completely mature. The membrane, not yet entirely reabsorbed, is still visible in transparency.

Healing at 8 months. Tissues, completely healed, are stable and mature. The formation of thick papillae and the neovascularization that starts from the intramucosal neck of the Prama RF implant can be appreciated.

Impression taking and casting of the model, onto which a straight pre-made post is placed.

Impression taking and casting of the model, onto which a straight pre-made post is placed.

Lateral view of the wax-up that respects and reproduces on the post the closure parameters clinically defined with the temporary rehabilitation. The continuity between the implant neck and the prosthetic post can be appreciated. The portion of the post not occupied by the crown will be surrounded by soft tissues.

The metallic structure and the ceramic coating reproduce the shape of the temporary crown, to support the tissues in the same way. This closing technique allows to polish the finishing line and the line between metal and ceramic very easily, thus managing the emergence profile of the element according to the B.O.P.T. technique.

The metallic structure and the ceramic coating reproduce the shape of the temporary crown, to support the tissues in the same way.

This closing technique allows to polish the finishing line and the line between metal and ceramic very easily, thus managing the emergence profile of the element according to the B.O.P.T. technique.

This closing technique allows to polish the finishing line and the line between metal and ceramic very easily, thus managing the emergence profile of the element according to the B.O.P.T. technique.

This closing technique allows to polish the finishing line and the line between metal and ceramic very easily, thus managing the emergence profile of the element according to the B.O.P.T. technique.

Mimetic adaptation of the final element supporting the obtained soft tissues.

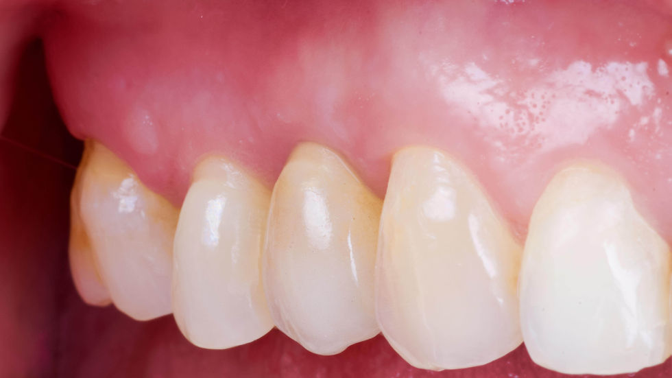
Clinical aspect after 13 months.

Radiographic control at 13 months. GO TO THE VIDEO