Immediate post-extraction Prama implant in site 1.4, immediately provisionalized with a composite crown made intraorally using a preformed acetate guide
Dr. Guillermo Cabanes Gumbau, DT Violeta Alapont Asensio, Vila Real, Spain
A 40-year-old female patient, with no previous medical records, arrives at the clinic with a root fracture of element 1.4 and the need to rehabilitate it in the fastest, most natural and aesthetic way.
“Observing the clinical evolution, from the day of the positioning of the crown up to the situation found at 3 months from the surgery, we find confirmation of the adequate, active and progressive response of the peri-implant soft tissues obtained thanks to Prama implant, with its coronal. All this demonstrates once again how the peri-implant soft tissues regenerate following the prosthetic project planned by the clinician thanks to the benefits related to the convergence of the implant neck.”
cit. Dr. Guillermo Cabanes Gumbau

Pre-operative orthopantomography and CT in which the root fracture of the element 1.4 is evident.

The root residue is extracted, followed by the de-epithelization of the alveolar margin with a diamond bur.

Immediate insertion of a Prama RF implant 4.25x13 mm, taking advantage of the stability guaranteed by the interradicular septum. Positioning of the prosthetic post and filling of the peri-implant gap with ß-tricalcium phosphate mixed with PRF.

A strip of sterile Teflon is placed over the biomaterial inserted in the gap. Intraoral making of the screw retained crown by injecting light-curing composite into a preformed acetate structure with canine morphology to decrease the volume and the load on the occlusal plate during the period of osseointegration. In this phase the aim is only to achieve the vestibular aesthetics, so the absence of the palatal cusp helps to decrease the occlusal loads without interfering with the aesthetics.

After the removal of the composite crown, which already incorporates the prosthetic abutment, the acetate cover is removed and the emergence of the crown profile is shaped by light-curing fluid composite up to the level delimited by the o-ring on the analogue.

The crown is finished with an adequate shaping and polishing.

The temporary crown is tightened to the implant, thus protecting the clot and the material inserted in the peri-implant alveolar space.

The post-operative radiographic examination confirms the adequate fit of the screw retained crown.

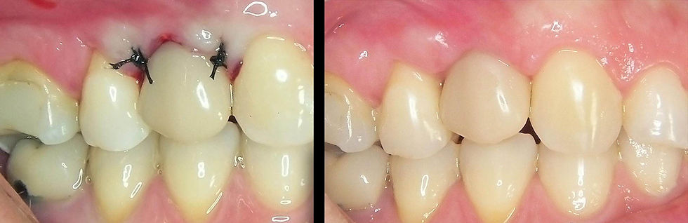
Intraoral clinical comparison at the end of the surgery and after 4 months.

Preparation of the definitive metal-ceramic crown. In this case it is a cemented crown, made with a smaller emergence profile than that of the temporary crown and with a more anatomical interproximal parabola, leaving more space for the growth of peri-implant soft tissues.

Placement of the definitive cemented crown. Note the space initially present between the gingiva and the new profile of the crown, and the rapid adaptation to the new prosthetic morphology, visible already after 10 days.

Clinical and radiographic follow up at 3 months: good healing of peri-implant tissues is noticeable.