Immediate provisionalization of Prama RF implant in position 2.3
Dr. Costantino Vignato, Dr. Giuseppe Vignato, DT Riccardo Finotello, Vicenza
​
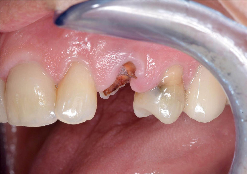
The patient came to our clinic for the extraction of the root of the canine in position 2.3, around which a large part of bone has been lost both in vestibular and palatal sense. The compromised root was replaced with a Prama RF implant immediately provisionalized.
​
“The Prama implant was essential in the execution of this case because, thanks to the maintenance of the bony peaks, the overlying soft tissues obtain the proper support for a healthy and stable healing.”
cit. Dr. Costantino and Dr. Giuseppe Vignato

Initial clinical case.

Clinical photo and radiograph at the time of implant placement and its covering with a cover screw.

The day following the insertion of the implant, a temporary crown that entirely covers the post-extraction socket is placed.

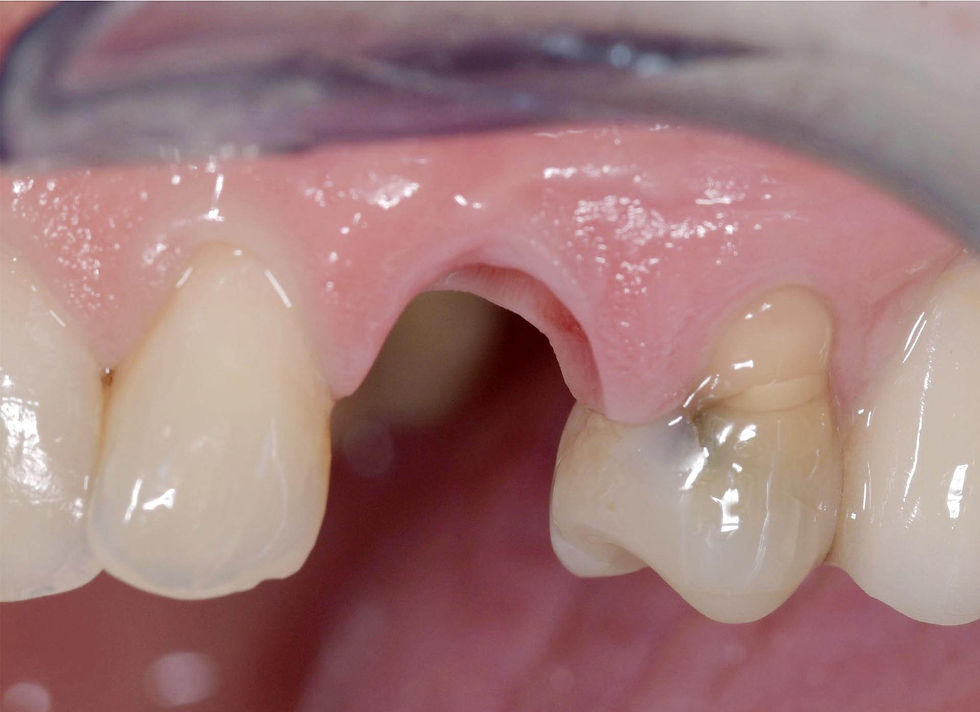
After 2 months, the provisional prosthesis is removed. The healing was successful, resulted in healthy and stable soft tissue, supported by bone peaks.

After 2 months, the provisional prosthesis is removed. The healing was successful, resulted in healthy and stable soft tissue, supported by bone peaks.

After 2 months, the provisional prosthesis is removed. The healing was successful, resulted in healthy and stable soft tissue, supported by bone peaks.

Details of the final prosthesis.

Details of the final prosthesis.

Details of the final prosthesis.

Clinical images and radiograph at final crown delivery.

Clinical and radiographic follow up at 2 years.