Rehabilitation of a periodontally compromised lateral incisor with large vestibular bone defect
Dr. Giuseppe Pellitteri, Bolzano, DT Sonia Cattazzo, Trent Pictures by Martina Cestarollo
​
The patient, female, smoker, with bad oral hygiene, came to visit due to the mobility of the element 1.2. The radiological investigation and the probing revealed that the cause of tooth mobility is an increased periodontal space because of occlusal trauma and periodontal disease. For this reason, the final crown was planned so that the incisal edge could lay on the mesial crest of the antagonist, free from lateral excursion and protrusion. It was therefore decided to extract the compromised element and immediately insert a Prama implant. To treat the extended vestibular defect detected at the probing of the post-extractive socket the vestibular gap was filled in differentiated strata, that is, keeping the autologous bone collected from the drill in contact with the surface of the implant and inserting deproteinized bovine bone particles in the remaining space. The possibility to choose the endosseous cylindrical morphology and to deepen the position of the implant allowed on one hand to obtain a better primary stability, on the other hand to adapt the morphology of the neck to what remains of the receiving alveolus. Thanks to a progressive soft tissue modulation, obtained through various adaptations of the temporary crown and supported by a regeneration with connective tissue, it was possible to obtain a stable and aesthetic rehabilitation, up to the recovery of the prominence of the root. Once the element 1.2 was restored, the patient accepted a connective graft at the level of elements 2.2 and 2.3 to make the whole profile of the parabola more symmetrical and harmonious.
​
“In this case the deeper positioning of the implant allows a better adaptation of the convergent neck to the residual bone peaks.”
cit. Dr. Giuseppe Pellitteri

Clinical and radiographic pre-surgical images showing the periodontal disease of the element 1.2. The probing starts from the current parabola and therefore from an additional deficit of about 4 mm.

From the clinical image the tooth appears to be highly compromised. The vestibular view shows a remarkable recession of the 1.2 gingival margin.

The occlusal view shows the total loss of the prominence of the root.

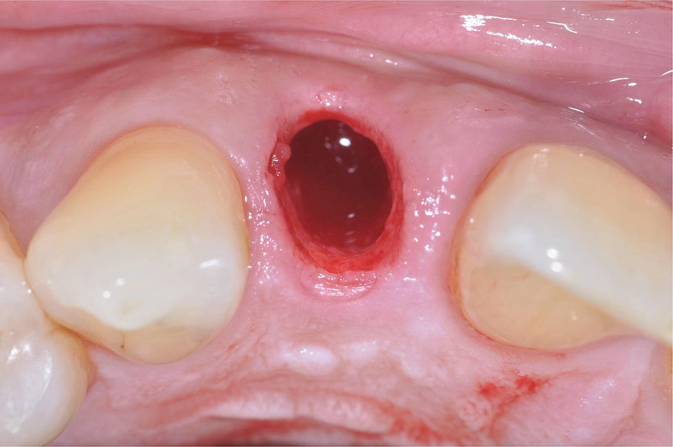
Occlusal view after the extraction of the compromised element, which was as conservative as possible.

From the probing and the evaluation of the residual natural alveolus it is clear that the bone defect is very extensive

The cylindrical version of the implant is chosen to increase the bone-to-implant contact surface since the bone quality (D3-D4) did not guarantee excellent primary stability.

The bone collected by the drill is used to fill the natural socket in the area in contact with the implant, while the further residual gap is grafted with deproteinized bovine bone.

Radiographic image of the implant positioning.

Insertion of the temporary PEEK abutment with titanium base, milled by the laboratory to obtain a feather edge morphology.

Insertion of the temporary PEEK abutment with titanium base, milled by the laboratory to obtain a feather edge morphology.

Relining and polishing of the temporary crown, whose morphology helps to stop the bleeding and consequently to stabilize the clot.

Relining and polishing of the temporary crown, whose morphology helps to stop the bleeding and consequently to stabilize the clot.

Removal of the temporary crown after 4 weeks. The epithelialized tissue around the edges of the crown is still maturing but the adaptation on the morphology of the crown is already visible.

Images 30 days after surgery: modulation of the temporary crown for the progressive adaptation of soft tissues. The crown is reduced by about 3 mm.

After 1 month, the mucosal tissue is adjusted on the new profile both mesially and distally and has almost reached the prefixed purpose.

Further correction of the temporary crown to make room for the papillae to thicken both in the mesio-distal and apico-coronal area.

Clinical occlusal image, which shows an excellent development of the mucous tunnel but also the permanence of the buccal bony defect, to correct which a muco-gingival surgery is planned.

Design of the flaps: two incisions in the keratinized tissue on the papillae, two vertical release incisions. Then the primary flap is elevated to receive a connective tissue grafting.

The collected connective tissue to be grafted, after being de-epithelized, cleaned and measured.

Suture of the graft bound to the primary flap.

Occlusal view of the sutured graft. The suture has the role, at this moment, of bringing the flaps closer together to guarantee a healing by first intention.

After 3 months of healing of the tissues, a further shortened provisional is positioned, which allows the maturation of the mucous membranes and their migration in apico-coronal sense.

Comparison of clinical images: at the time of tooth extraction, of implant insertion, at 3 months from insertion and 8 months after mucogingival surgery.

Detail of the initial and final case. To correct the diastema, the composite was slightly corrected towards the element 1.1.

Connective tissue graft at the level of elements 2.2, 2.3.

Comparison between the initial case and the 3 year follow up. The prosthetic artifact was made supporting the incisal margin on the mesial ridge of the antagonist, as planned, given the initial clinical situation.

Radiographic follow up at 3 years.