Prama RF implant in atrophic aesthetic site
Dr. Giuseppe Pellitteri, Bolzano, DT Sonia Cattazzo, Trent Pictures by Martina Cestarollo
​
The patient, 58 years old, comes to our observation to improve the aesthetics of her smile, compromised by the loss of the element 1.2 following a trauma. The element was restored at the time with a very large bridge that involved almost the whole sector 1. We decided for the restoration of the element with a Prama RF implant, the repositioning of the parabolas in the coronal sense, the reconstruction of the distal crowns and small conservative interventions for the benefit of the final aesthetics. After 2 years, the hard and soft tissues are stable and healthy, and the patient is very pleased for the aesthetics obtained.
​
“In a position like the lateral incisor, the particular morphology of the Prama neck demonstrates success because it combines the mechanical resistance of a 3.80 implant and the minimum space occupied by the neck in the prosthetic area. Also, in this case the possibility of partially submerging the neck of the implant allows an excellent vestibular regeneration.”
cit. Dr. Giuseppe Pellitteri

Initial orthopantomography.

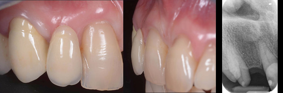
Initial case: frontal view.

Initial case: frontal view.

Initial case: frontal view.

Lateral and radiographic details of the element 1.2.

Occlusal view of the element 1.2. The depression of the vestibular prominence is evident, due to the natural rearranging of the edentulous area.

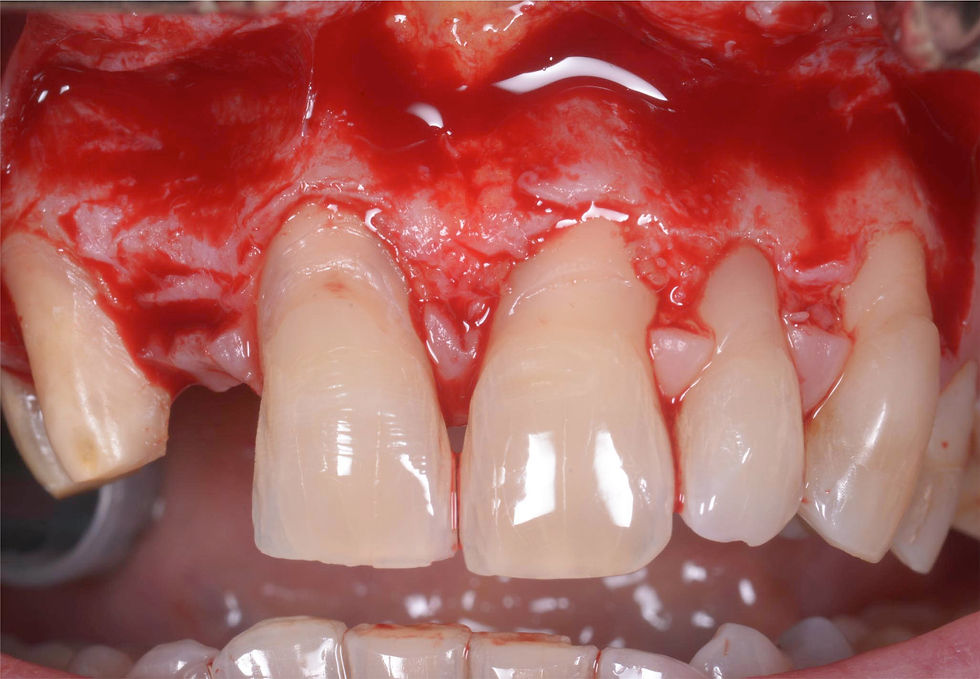
Full thickness flaps opening preserving the papillae, which will allow a coronal repositioning of the parabolas of the elements 1.1 and 2.1, in addition to the exposure of the bone available for the implant site preparation.

Insertion of Prama RF implant in a semi-submerged position: the endosseous morphology allows the implant to be kept very palatal and to minimize the impact on the vestibular wall, which is very thin in the apical area.

Connective tissue graft, stabilized with 7.0 sutures.

Coronal repositioning of the parabolas of the elements 1.1 and 2.1 simultaneously to the suturing of the soft tissues around the neck of the implant.

Coronal repositioning of the parabolas of the elements 1.1 and 2.1 simultaneously to the suturing of the soft tissues around the neck of the implant.

Healing at 3 months.

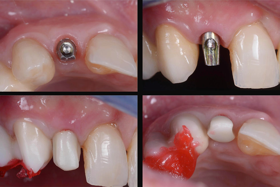
It is possible to obtain a perfect mimesis and a harmonious alignment of the gingival profiles working in synchrony on the gingival margin of the implant prosthesis and on the crown for the adjacent natural stump in this phase.

The definitive post is fastened on to the implant and the zirconium crown fit is verified in situ.

Cementation of the definitive crown. General appearance of the patient after the zirconium-ceramic restoration of all the crowns and the recovery of the fifth classes on the elements 1.1 and 2.1.

Cementation of the definitive crown. General appearance of the patient after the zirconium-ceramic restoration of all the crowns and the recovery of the fifth classes on the elements 1.1 and 2.1.

Cementation of the definitive crown. General appearance of the patient after the zirconium-ceramic restoration of all the crowns and the recovery of the fifth classes on the elements 1.1 and 2.1.

Cementation of the definitive crown. General appearance of the patient after the zirconium-ceramic restoration of all the crowns and the recovery of the fifth classes on the elements 1.1 and 2.1.

Peri-implant soft tissue maturation at 8 months.

Peri-implant soft tissue maturation at 8 months.

Radiographic follow up at 2 years.