Screw retained crown on Prama implant in aesthetic area
Dr. Paolo Nardinocchi, DT Valerio Zarroli, Camaioni Odontotecnici Laboratory Teramo
​
The patient came to the clinic with a deep fracture of the 2.1 element that had affected the buccal wall. The tooth had a very short root but was mobile as it ankylosed. The restoration started from the extraction of the fractured element and the insertion of a Prama implant in a prosthetically ideal position: the emergence of the neck is positioned at the level of the apical margin of the adjacent teeth, being careful not to come in contact with the buccal bone plate. This type of positioning is contraindicated when using tissue level implants with divergent or cylindrical neck because, being inserted in a more palatal position to avoid future recession of hard and soft tissues, they would force a prosthesis with a horizontal over-contour that could negatively influence the elimination of plaque by the patient, thus precluding the possibility of a cemented prosthesis due to the difficulty of removing excess cement. In this case, thanks to this positioning, it would have been possible to realize a definitive crown both screw retained or cemented. A screw retained crown was chosen, taking advantage of the benefits of the angulation offered by the Interfase Dynamica supports.
​
“The Prama implant allowed me to plan an ideal rehabilitation from the prosthetic point of view, positioning the emergence of the convergent neck at the level of the coronal edge of the adjacent teeth. This way it was possible to create a screw retained crown in the aesthetic area with an ideal and very natural emergence profile, also thanks to the possibility of realizing an angled prosthesis using the Interfase Dynamica.”
cit. Dr. Paolo Nardinocchi and DT Valerio Zarroli

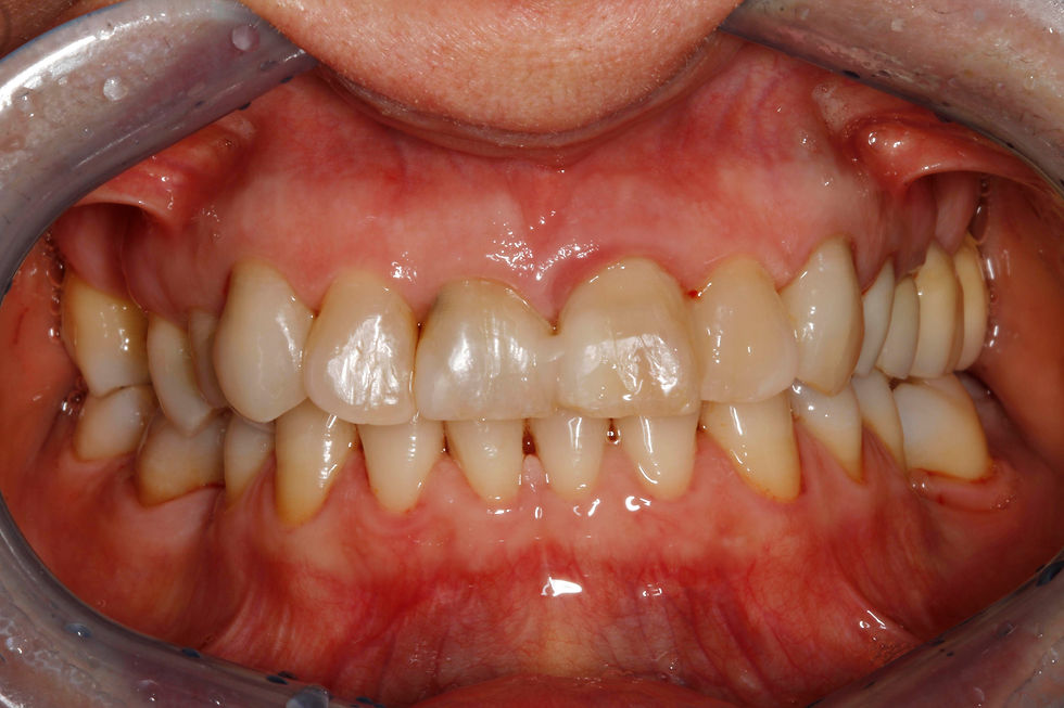
Clinical image and initial radiograph: the fractured on the element 2.1 is noted.

Clinical image and initial radiograph: the fractured on the element 2.1 is noted.

Before the extraction of the fractured element, an intraoral scan is performed for the digital design of the temporary prosthesis, which will be delivered the same day of the surgery.

Design of the temporary crown with CAD software.

Design of the temporary crown with CAD software.

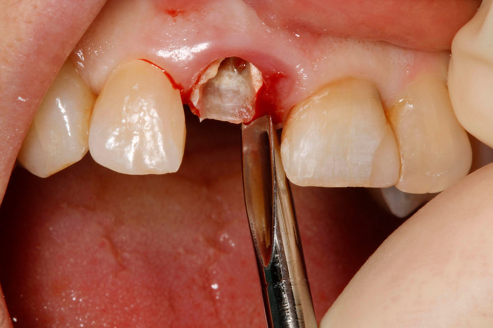
Occlusal and frontal view of the radicular residue.

The fractured element is removed in the most atraumatic way with the aid of the Magnetic Mallet.

Occlusal view of the post-extraction socket.

Insertion of a parallelism pin to verify the insertion axis of the implant.

Prama implant in situ.

At the same time as the impression is taken, a gingivectomy is planned on the element 1.1 to normalize the incisor parabola and thus obtain a better aesthetic result. The 4 mm sulcus allows us to intervene without having to resort to a surgical crown lengthening.

After the impression is taken, the alveolar sockets are filled with bovine bone mineral based biomaterial in particles.

Positioning of a healing abutment and sutures.

Post-surgery intraoral radiograph.

Laboratory phases for the realization of the temporary crown.

Laboratory phases for the realization of the temporary crown.

Laboratory phases for the realization of the temporary crown.

Laboratory phases for the realization of the temporary crown.

Positioning of the temporary crown in PMMA, designed before surgery with CAD software.

Clinical situation after 1 and 2 weeks from the insertion of the provisional crown: the tissues appear healthy and the healing process is progressing favorably, even if the papillae have not yet fully occupied the interproximal spaces.

Clinical situation after 1 and 2 weeks from the insertion of the provisional crown: the tissues appear healthy and the healing process is progressing favorably, even if the papillae have not yet fully occupied the interproximal spaces.

3 months after implant insertion it is possible to appreciate the healing progression of peri-implant soft tissues.

A digital impression is taken with an intraoral scanbody in PEEK.

Intraoral impression acquired by software.

The crown design on the Interfase Dynamica support, which allows the realization of a screw retained crown with palatal displacement of the screw hole, in favor of the final aesthetics.

The crown design on the Interfase Dynamica support, which allows the realization of a screw retained crown with palatal displacement of the screw hole, in favor of the final aesthetics.

The crown design on the Interfase Dynamica support, which allows the realization of a screw retained crown with palatal displacement of the screw hole, in favor of the final aesthetics.

Final phases of the planning of the definitive crown.

Final phases of the planning of the definitive crown.

Print of the 3D model with the Interfase Dynamica support inserted on the analogue.

Print of the 3D model with the Interfase Dynamica support inserted on the analogue.

Interfase Dynamica support onto the analogue: note the peculiar structure that allows to angle the prosthesis thanks to the tilted screw hole.

Definitive crown luted on the Interfase Dynamica support.

Layered zirconia screw retained crown.

Final radiograph.

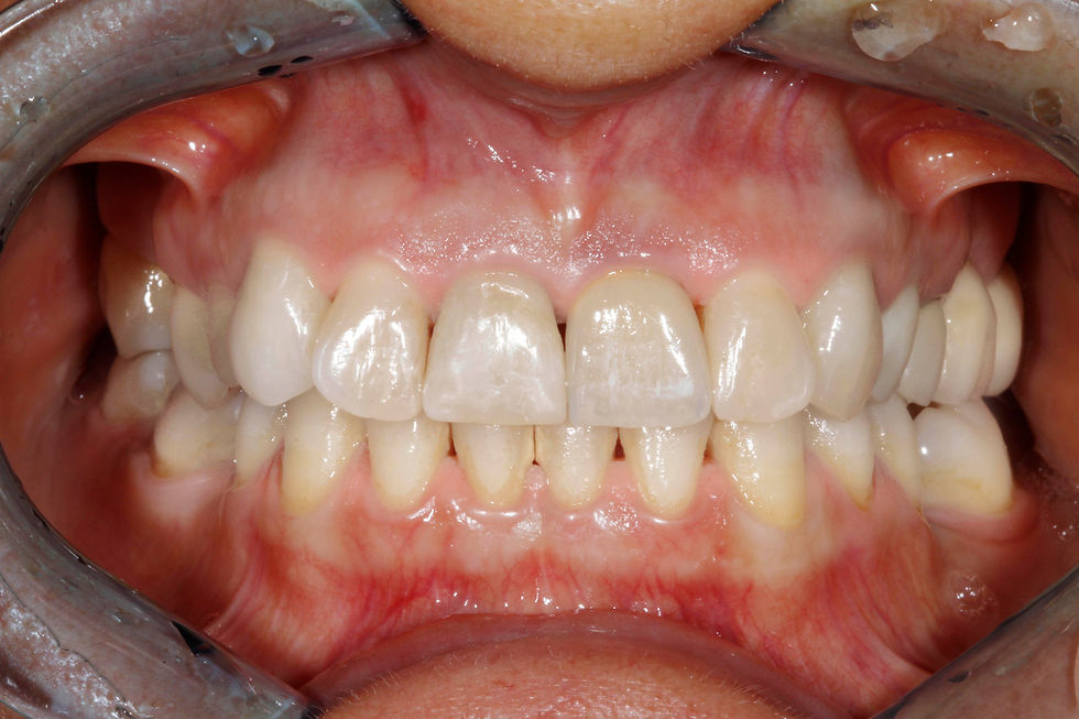
Clinical photo 4 months after surgery: parabolas are harmonized, and soft tissues are stable and healed.