Management of a post-extraction socket in the aesthetic area with a Prama RF implant
Dr. Roberto Luongo, DT Leonardo Colella, Bari
​
A 35-year-old Caucasian patient suffered a 1.1 fracture due to a motorcycle accident. The incident resulted in a horizontal compound fracture of the dental element that was temporarily splinted to the adjacent teeth. Then the treatment plan included the extraction of the 1.1 with the simultaneous insertion of a post-extraction Prama RF implant and prosthetic rehabilitation with a crown and metal-free abutments.
​
“The use of a Prama RF implant has allowed me to preserve the bone and gingival volumes that I managed to maintain in the post-extraction site with a socket preservation technique. In particular, the presence of the implant/abutment junction at a supracrestal level allowed me to distance the microgap from the cortical bone, reducing peri-implant bone resorption and allowing better stability of the gingival tissues around the prosthetic crown. Furthermore, from the Cone Beam image taken about six months after surgery, the apposition of bone on the implant neck can be clearly shown, as proof of the osteoconductivity of the anodized UTM neck of the Prama implant. I don’t think I could have achieved such results of biological and aesthetic integration with another type of implant, as Prama has allowed me to take the advantages of both a tissue level implant, with the supra-crestal prosthetic connection, and those of a bone level implant, allowing me to perform a two-steps surgery, that is important when the implant stability is not suitable for immediate loading.”
cit. Dr. Roberto Luongo

Initial radiographic situation, which shows the fracture of the element 1.1.

Initial clinical situation.

Atraumatic extraction of the fractured element is performed together with the debridement of the alveolus.

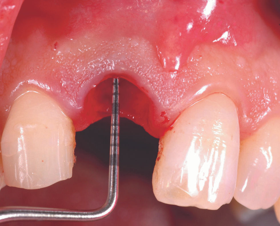
Probing of the residual bone crest, that detects a partial lack of the vestibular bone wall.

Preparation of the implant site with dedicate drills, taking care to engage the palatal bone wall.

After having verified the correct preparation of the implant site in the three planes of the space, a Prama RF 4.25x13 mm implant is inserted.

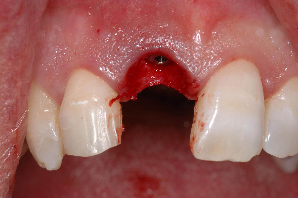
Vestibular view of the implant in situ.

To prevent the physiological collapse of the residual vestibular bone wall, already partially compromised, a porcine cortical bone resorbable membrane and porcine collagenated granular biomaterial are inserted.

Coronal side of the membrane sutured to protect the alveolus.

Positioning of the crown of the extracted element, appropriately shaped in its cervical portion and splinted on the palatal side of the adjacent teeth using an orthodontic thread and with adhesive technique.

Radiographic control at the time of the surgery.

Second surgery after 4 months.

The cover screw is exposed through a semi-lunar incision.

Precision impression taking.

Frontal view of the zirconia post in situ.

Occlusal view of the zirconia post in situ.

In the same session a temporary crown is placed to shape the tissues.

CAD-CAM design of the definitive crown.

CAD-CAM design of the definitive crown.

CAD-CAM design of the definitive crown.

CAD-CAM design of the definitive crown.

CAD-CAM design of the definitive crown.

Detail of the healing of peri-implant tissues at the time of the definitive crown delivery: residues of particulate material incorporated in the vestibular soft tissues without clinical signs of inflammation confirm a favorable healing.

Definitive crown in lithium disilicate, cemented with resin cement.

Detail of the healing of the tissues.

Cone Beam at 6 months: the bone thickening of the buccal bony wall, essential for long-term soft tissue maintenance, is evident.

Clinical follow up at 12 months.

Radiographic follow up at 12 months.