Rehabilitation of a single element in the aesthetic zone with Prama implant
Dr. Fabio Gorni, DT Fabio Cislaghi, Milan
​
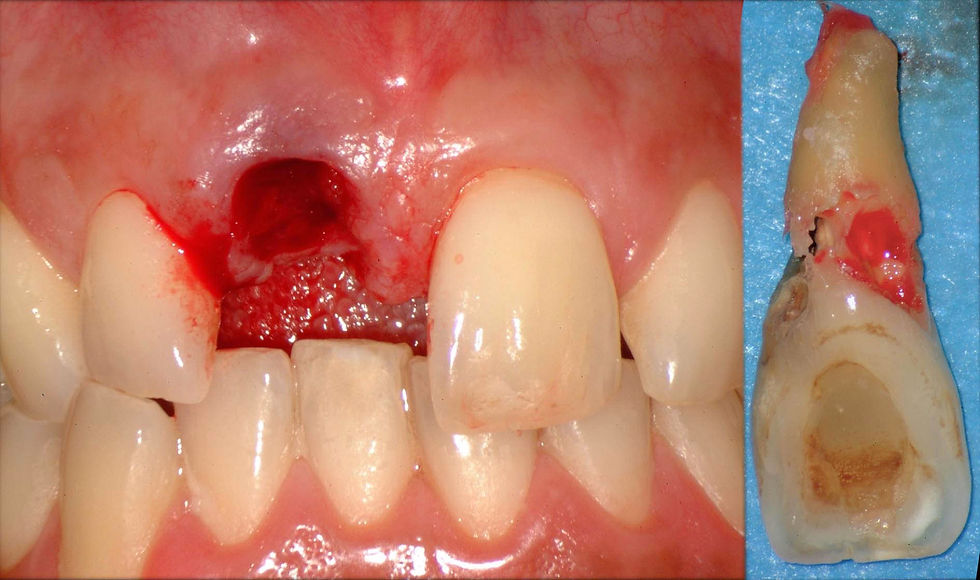
46 years old male patient with evident damage on the element 1.1, which had undergone a series of endodontic and conservative treatments over time due to a trauma suffered many years before. From the clinical and radiographic examination, the impossibility to recover this natural element and the need to intervene with an implant therapy are evident.
​
“I have been doing implant therapy for over 25 years and I have always been involved in the conservative endodontic rehabilitation of the severely compromised tooth, for these reasons I have always focused my attention on replacing the single dental element. I believe that Prama is the perfect implant for this kind of clinical application and allows us an ideal management of soft tissues, obtaining a final aesthetic similar to that reproducible on a natural tooth.”
cit. Dr. Fabio Gorni

The clinical image shows an external cervical root resorption, from the radiograph and from the CBCT it is evident that the natural tooth is hopeless and that an implant therapy is needed. Given the presence of an evident diastema, an immediate provisionalization post-extraction approach is chosen in order to reduce as much as possible the timing and the discomfort for the patient.

Extraction of the compromised element.

Surgical phases of the insertion of a 11.50 mm high Prama implant.

Surgical phases of the insertion of a 11.50 mm high Prama implant.

Surgical phases of the insertion of a 11.50 mm high Prama implant.

Note how the positioning of the implant platform is at the level of the cement-enamel junction of the adjacent teeth, an important reference to obtain an ideal condition for the following prosthetic phases.

Note how the positioning of the implant platform is at the level of the cement-enamel junction of the adjacent teeth, an important reference to obtain an ideal condition for the following prosthetic phases.

The regeneration of hard and soft tissues keeps peri-implant volumes unchanged over time.

The regeneration of hard and soft tissues keeps peri-implant volumes unchanged over time.

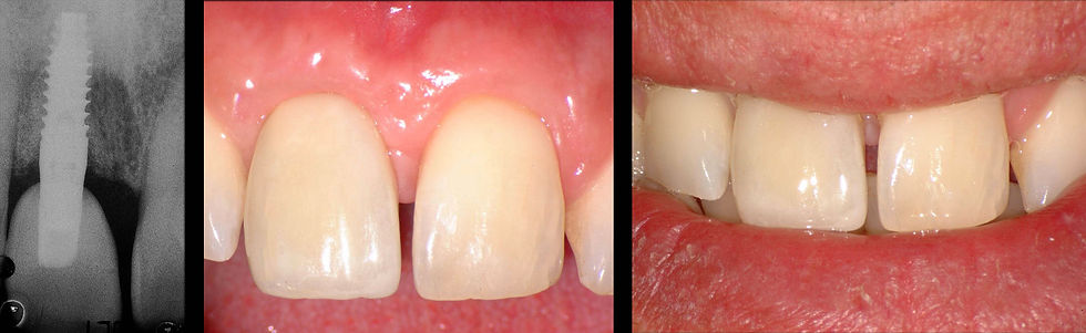
The control at 6 months shows the maintenance of horizontal volumes.

The control at 6 months shows the maintenance of horizontal volumes.

Control image at 6 months from implant insertion, showing an ideal adaptation of the gingival parabola thanks to the management of the soft tissues through a series of temporary crowns.

The pictures and the radiographs of the final restoration after 8 months from the implant insertion show a pleasant aesthetics, resulting from a correct balance between hard and soft tissues. These outcomes are possible thanks to the perfect adaptation of the periodontal area to the Prama implant neck.