Prama and guided surgery
Prof. Berta García Mira, Valencia, Spain
A 35 years old patient without previous medical records, came to our clinic for the fracture of a stump in position 1.1. The clinical examination detected the mobility of the crown, while the radiographic evaluation showed that the cause of this mobility was the root fracture. There were no signs of infection. Being a highly aesthetic zone, the element was extracted and a socket preservation with a graft obtained from the palate was performed. After 5 months from the extraction, the implant placement and rehabilitation with immediate provisional prosthesis were planned using a guided surgery protocol. Planning was carried out with the help of RealGUIDE software, while the EchoPlan Sweden & Martina guided surgery kit was used for the preparation of the site and the following insertion of the implant (Prama with diameter 4.25 mm and length 11.5 mm).
“The choice of a guided surgery procedure associated with the use of Prama with its convergent neck and the placement of a cemented crown was the key for achieving great soft tissues stability and even their thickening over time.”
cit. Prof. Berta García Mira

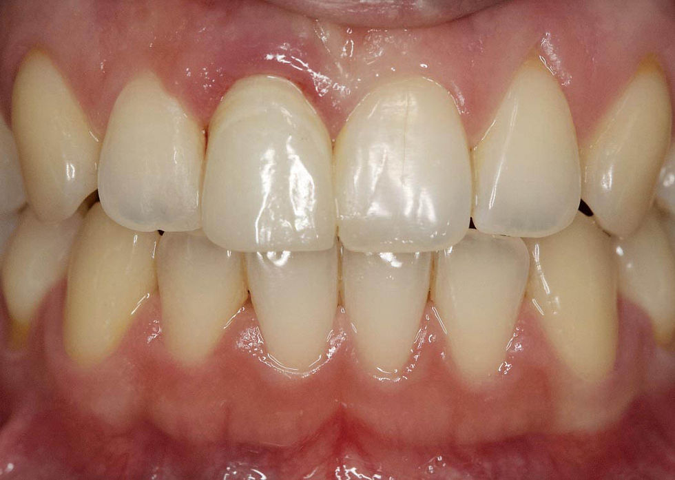
Initial clinical picture that shows an evident suffering of the free gingiva around the element 1.1.

Periapical radiograph of the element 1.1 showing the root fracture.

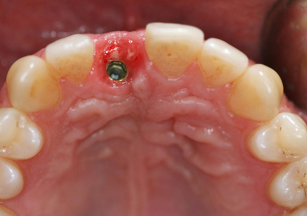
Occlusal view.

Lateral view with evidence of soft tissues situation.

Extraction of the element in a non-traumatic way.

Extraction of the element in a non-traumatic way.

Socket preservation. The tissue graft collected from the palate is positioned to protect the biomaterial inserted in the alveolus.

The Maryland bridge is placed. Control frontal view.

Clinical situation after 1 week.

Clinical situation after 4 weeks: tissue healing evolution can be appreciated.

Clinical situation after 1 month.

Clinical situation after 3 months.

After 5 months from the extraction, the guided surgery implant positioning is planned. Frontal clinical image shows that the distal papilla of the site 1.1 is more apical than the mesial and the contralateral papillae.

To carry out what planned with the software, an EVOBITE radiographical guide is used during the CBCT to obtain the DICOM file.

To carry out what planned with the software, an EVOBITE radiographical guide is used during the CBCT to obtain the DICOM file.

Matching between the stl file of the model scan and the DICOM file to obtain a prosthetically guided positioning.

Lateral image after the planning: the software allows the implant to be positioned by verifying the correct prosthetic emergence and angle in respect of the vestibular wall.

Positioning of the surgical guide made by Sweden & Martina following what planned.

The mounter for guided surgery is assembled to the Prama implant.

The implant is inserted through the surgical template, according to the established angle and depth.

The mechanical stop of the mounter onto the template sleeve places the fixture congruently to the planning.

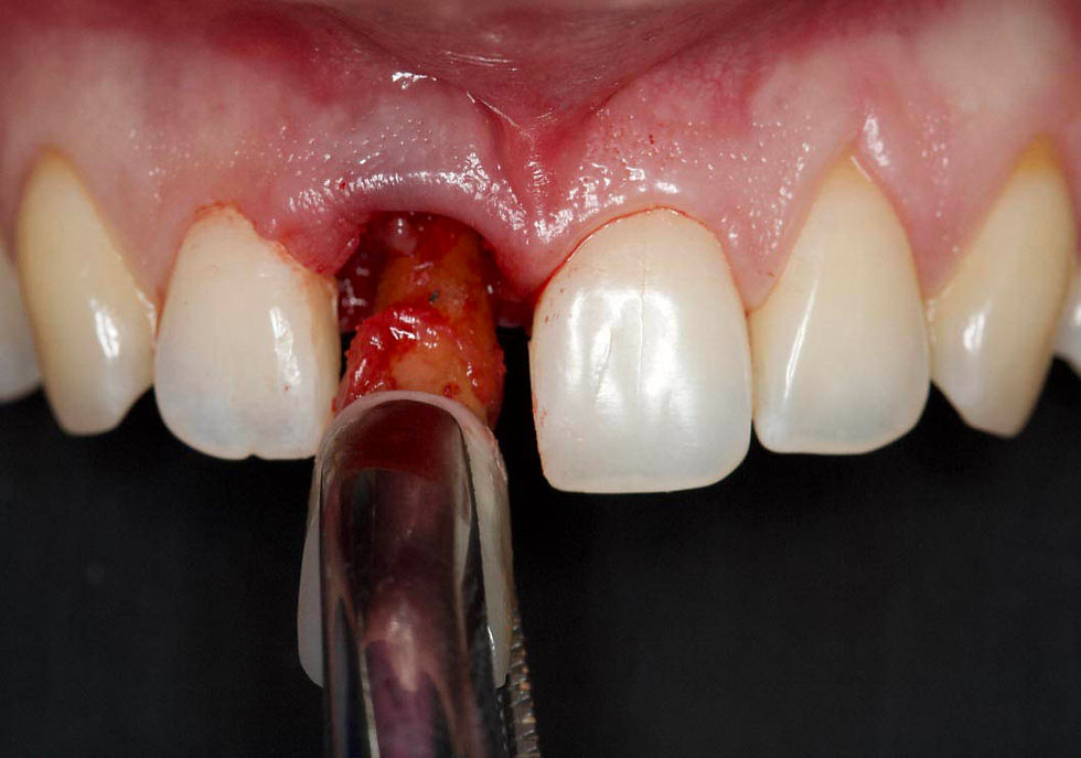
To preserve the vestibular volumes and the final aesthetics of the case, we proceed with the incision of a small vestibular flap, inside which an ad hoc resorbable membrane is positioned and, below this, some synthetic bone particulate.

Frontal view after the positioning of the immediate screw-retained temporary crown.

Radiographic control after surgery.

After 5 weeks the good condition of soft tissues and the progression of their healing can be appreciated.

Frontal and occlusal images of the screw-retained temporary crown.

After 4 months, the healing and the stability of the soft tissues are observed, and the final impression is taken.

The definitive crown is prepared

The final crown is cemented on the post; a light controlled pressure is exerted on soft tissues: frontal and lateral views.

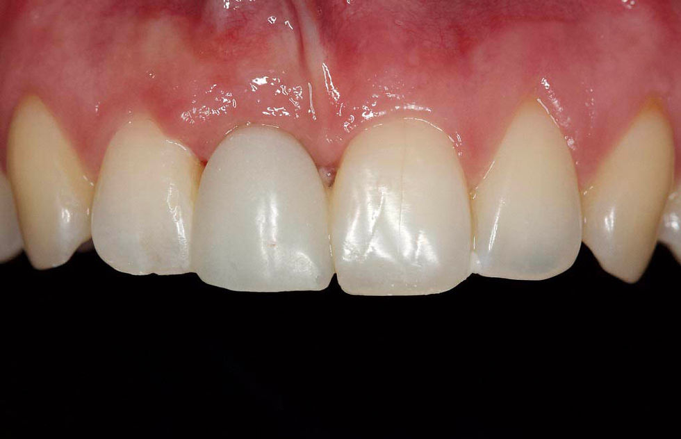
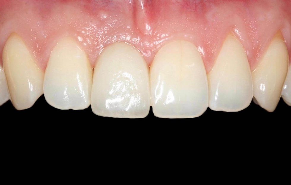
Frontal image at 12 months: progressive healing and soft tissue stability are confirmed.

Frontal control at 36 months: the alignment of the parabolas of elements 1.1 and 2.1. can be appreciated.

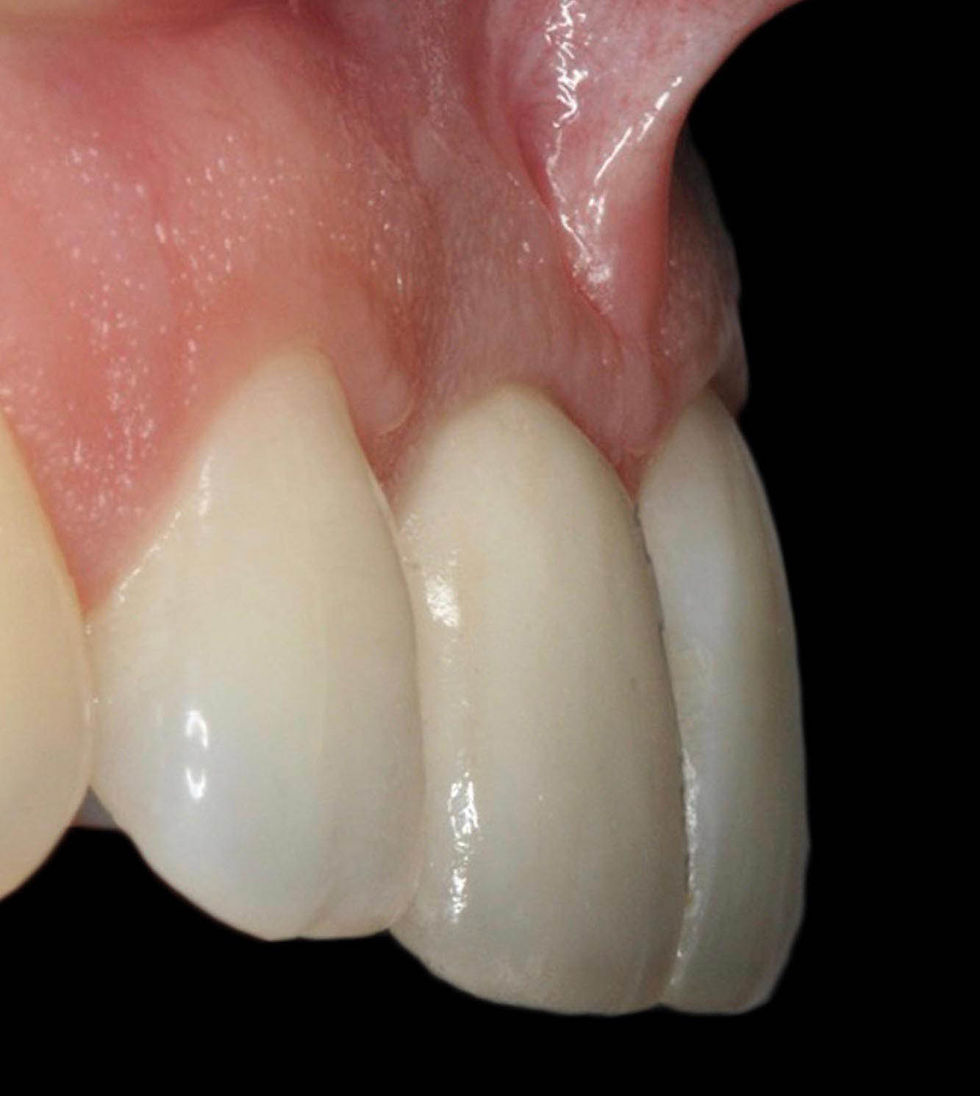
Lateral view that shows the good condition of the vestibular soft tissues and their thickening over time.

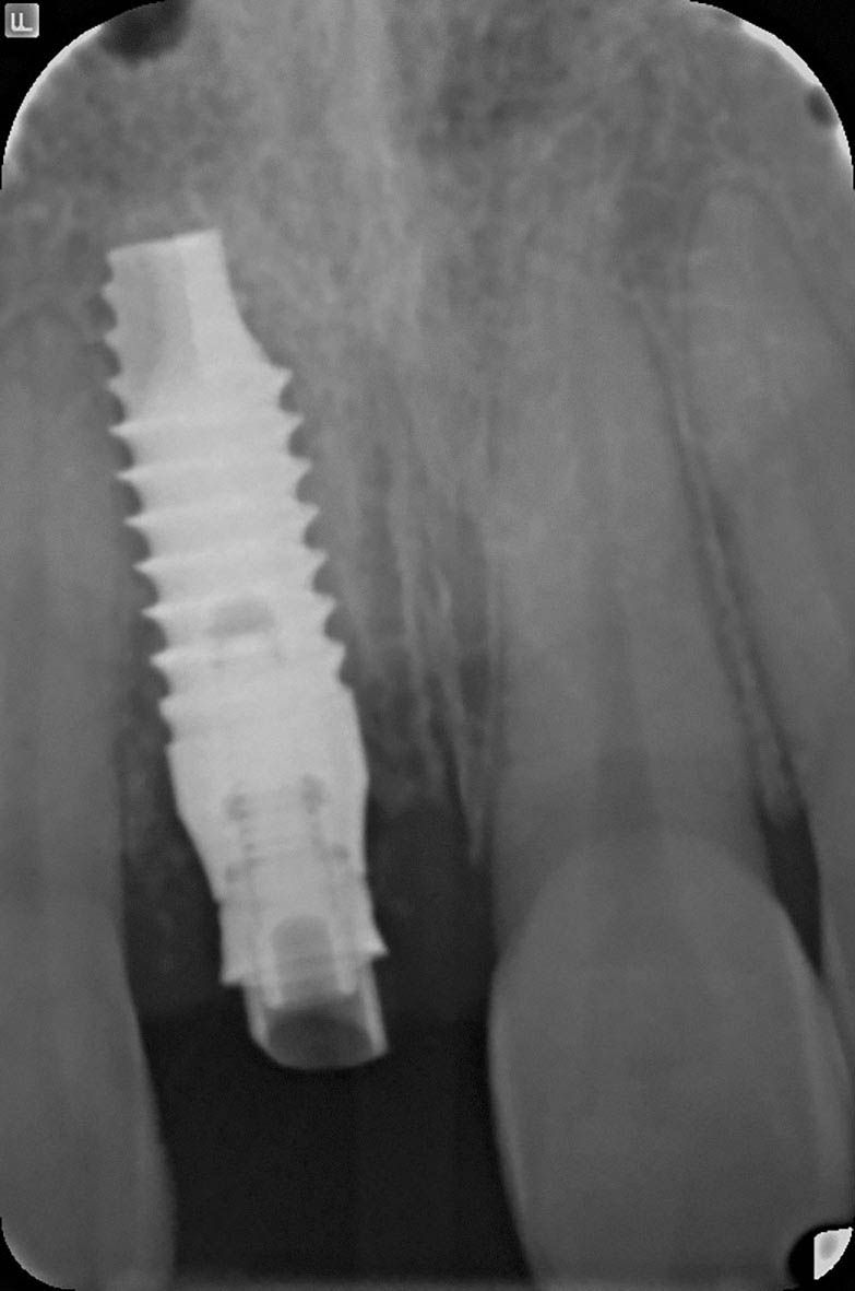
Control radiograph at 36 months: the stability of hard tissues is highlighted.

Control CBCT at 36 months: the intact vestibular wall can be appreciated.