Prama and single rehabilitation in aesthetic area with guided surgery
Dr. Luigi Canullo, DT Fabio Marinotti, Rome
​
The 48-year-old patient arrives at the studio with a vertical fracture of the element 1.1. The tooth was extracted, and a socket preservation with hydroxyapatite protected by an epithelial-connective graft was performed. Guided surgery was planned for the rehabilitation of the element with a Prama implant, arranging for a flap elevation in order to have a greater quantity of soft tissue to manage to maximize aesthetics. This step also made it possible to eliminate the grafting material particles which were fibro-integrated in the soft tissue: this way the long process of physiological expulsion, that sometimes can be uncomfortable for the patient, was avoided. The emergence profile obtained with the temporary crown was then duplicated with a silicon molding, which allowed to add to the transfer a precise resin base, duplicating the conditioned soft tissues during the impression taking. This way all the aesthetic information was transferred to the model. As regards the prosthetic approach, a zirconia post with a feldspathic ceramic crown was chosen: for this reason, the abutment on the implant neck has a feather-edge morphology, but a shoulder was created for supporting the crown, making the interface between the two materials more solid. The particular neck of Prama allowed optimal soft tissue management and high-quality restoration of tissue aesthetics.
​
“In the anterior areas the convergent Prama neck allows to increase the thickness of the soft tissues and to shape them to perfectly reproduce the aesthetics.”
cit. Dr. Luigi Canullo

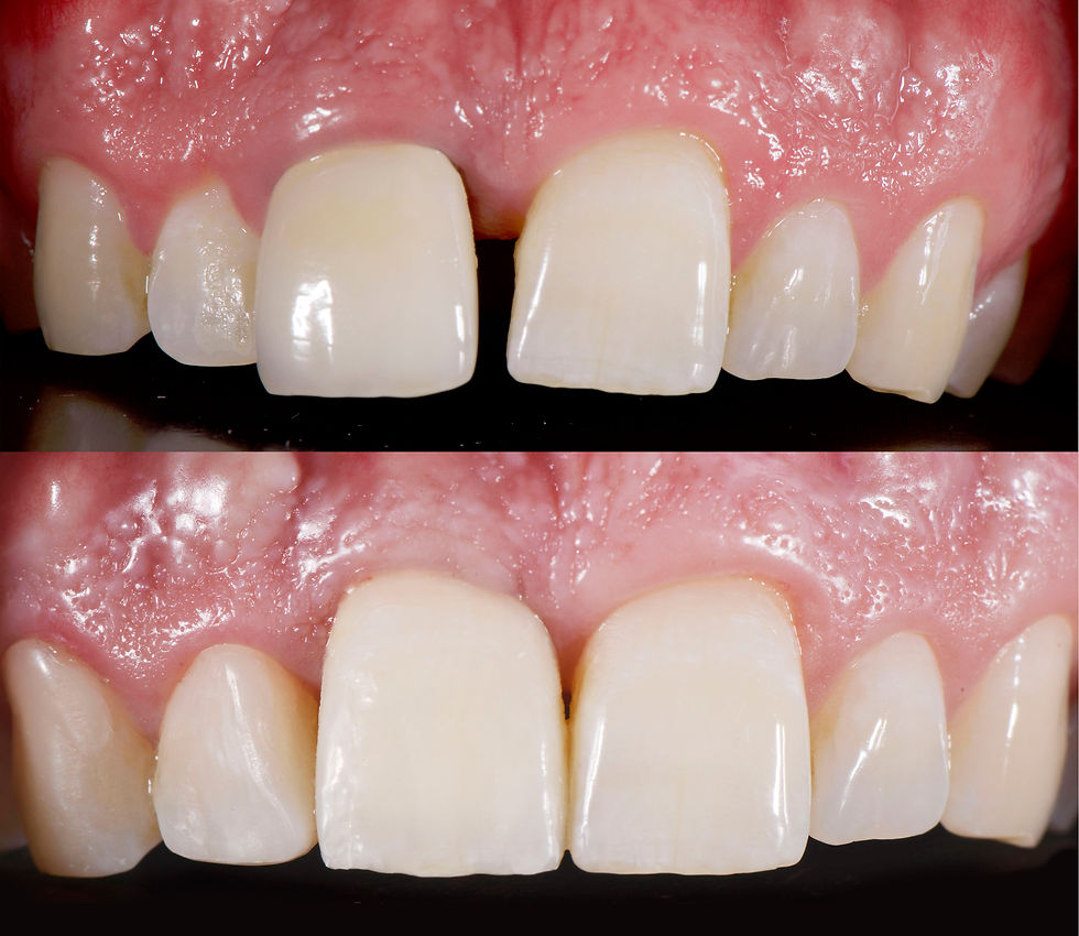
Initial clinical situation

Intraoral radiograph shows the vertical fracture of the element 1.1.

Extraction of the fractured element.

Hydroxyapatite graft and placement of a collagen plug.

Hydroxyapatite graft and placement of a collagen plug.

Positioning of an epithelial-connective graft and suture.

Alveolus healing at 3 months.

Guided surgery for the insertion of a 3.8 x 13 mm Prama implant.

Implant with healing abutment tightened. The flap was previously cleaned from fibro-integrated hydroxyapatite particles, then repositioned and sutured.

Placement of the temporary post for immediate loading.

Modeling of the provisional in the mouth to obtain the correct shape of the vestibular margin.

Final gingival margin definition.

After the resin provisional crown has been duplicated by means of a silicone casting, the temporary crown and the abutment are removed from the mold and the transfer is mounted on the analogue. The space left by the crown is filled with resin, to have an extremely precise impression of the margin conditioned by the provisional.

Impression taking and model phase.

Impression taking and model phase.

CAD-CAM design of the zirconium abutment.

CAD-CAM design of the zirconium abutment.

Zirconium abutment during its placement on the model: the profile is perfectly congruent with that of the soft tissues, as it was read at the time of the impression.

Relation between the zirconium abutment and the feldspathic ceramic crown. The abutment has a feather-edge morphology, especially in the buccal aspect, but a support shoulder for the crown is created, in order to make the interface between the two materials more solid.

Final prosthesis.

Occlusal view and lateral view after 1 years: peri-implant vascularization and increased tissues volumes can be appreciated.

Follow up radiograph at 1 year.

Clinical comparison between the initial situation and the 1 year follow up.