Riabilitazione di cresta severamente riassorbita in zona estetica con Prama Slim
Dott. Andrea D. Di Domenico, Cava De’ Tirreni (SA)
​
La paziente, di anni 38, si presenta alla nostra osservazione con un Maryland bridge in posizione 1.2 con la richiesta di migliorare l'estetica e la stabilità del manufatto protesico. All'esame clinico si evince una forte contrazione tissutale tridimensionale in zona 1.2, successivamente confermata dalle immagini Cone Beam.
In fase di raccolta dei dati, la paziente racconta di aver perso il dente all'età di 26 anni conseguentemente ad un incidente stradale.
Il severo riassorbimento osseo, in direzione bucco/palatale, va attribuito alla perdita della parete alveolare vestibolare a seguito dell’avulsione traumatica dell'elemento 1.2.
In accordo con le richieste della paziente, si decide di sostituire il datato Maryland bridge con una soluzione di natura implanto/protesica.
Studiata la morfologia della cresta ossea residua si opta per un impianto Prama Slim di diametro 3.30 mm che consentirà un completo alloggiamento della porzione irruvidita all’interno dell’osso.
Il collo alto 1.80 mm renderà più agevole la gestione della discrepanza vestibolo-palatale, interfacciandosi da un versante con i tessuti molli e dall’altro con l’osso.
In una prima fase chirurgica, attraverso una incisione crestale conservativa, si procede all’inserimento dell’impianto e alla sua protesizzazione immediata con provvisorio avvitato.
Dopo 3 mesi si decide di incrementare il volume dei tessuti molli vestibolari inserendo una membrana in collagene crosslinkata a lento riassorbimento.
Viene effettuato un lembo a mezzo spessore a riposizionamento coronale e la membrana viene stabilizzata al periosteo previa sutura. Il profilo cervicale bombato del provvisorio ha la funzione di sostenere e stabilizzare il lembo.
Dopo un mese e mezzo si procede a scaricare le aree interprossimali per dare spazio allo sviluppo delle papille e con l’occasione si registra un’ottima maturazione del tunnel mucoso.
Dopo 6 mesi si sostituisce il provvisorio con una corona definitiva avvitata in Zirconia/Ceramica.
​
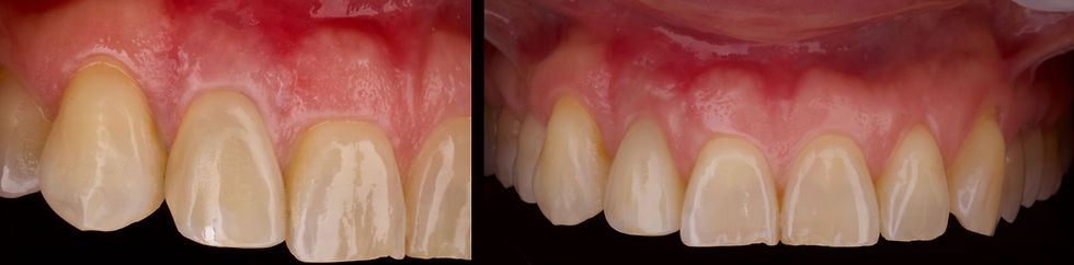
Il risultato estetico a 13 mesi, con papille perfettamente adattate al profilo della corona e sostenute da una bozza vestibolare molto naturale, soddisfa le aspettative della paziente e del clinico.


Caso iniziale

Valutazione tomografica preoperatoria

Visione frontale ed occlusale alla rimozione del Maryland bridge

Scheletrizzazione del sito chirurgico: si evidenzia ulteriormente il riassorbimento vestibolare

Preparazione del sito chirurgico

Impianto Prama Slim e suo posizionamento nel sito preparato

Preparazione della cannula per provvisori

Fabbricazione del provvisorio

Posizionamento del provvisorio immediato e riposizionamento del lembo attorno alla corona

Guarigione a 7 giorni

Guarigione a 3 mesi: vista la depressione vestibolare che compromette l’estetica, si opta per l’inserimento di una membrana

Controllo tomografico

Rimozione del provvisorio

Incisione del lembo, passivazione ed esposizione del letto vascolare

Posizionamento di una membrana in collagene crosslinkata per incrementare il volume vestibolare

Guarigione a una settimana

Scarico delle aree interprossimali per dare spazio allo sviluppo delle papille

Comparazione tra la guarigione a 45 e a 90 giorni

Guarigione a 3 mesi

Guarigione a 6 mesi

Guarigione a 13 mesi

Controllo radiografico con riabilitazione provvisoria e definitiva