Prama Slim implant as replacement of a maxillary premolar
Dr. Guillermo Cabanes Gumbau
In this clinical case, the use of the Prama Slim implant is presented for the replacement of the upper left first premolar. Prama Slim is useful to rehabilitate the small edentulous spaces due to long term premolars absence, which have generated small interproximal empty areas due to the progressive mesialization of the remaining posterior teeth.
In these cases, a therapeutic option is slightly increasing the small edentulous space by gently grinding and parallelizing the interproximal surfaces of the adjacent teeth, followed by the surgical insertion of a Prama Slim at the same visit, and the following prosthodontic rehabilitation after the end of the osseointegration period using a crown without palatal cusp (like a second canine), and without lateral contacts, thus avoiding any type of biomechanical overload on the abutment-implant interface.
​


Surgical insertion of Prama Slim into the small edenthal space at the level of the left upper first premolar.

Preparation of the emergence profile on the model, selectively removing material around the neck of the analog.

Metal-ceramic Cron design, without palatal cusp and with B.O.P.T. profile: physiological over-contouring in the vestibular side and scalloping in the interproximal áreas for adequate modulation of the morphology of peri-implant mucosal tissues by controlled mucosal compression.

Appearance of the peri-implant soft tissues at the delivery of prosthesis, and controlled gingival compression between the cemented crown and the new morphology, drawn above the cervical profile of the soft tissues. The gingival ischemia that is generated by this coronal compression disappears after about 15 minutes. It can be noted a small amount of anesthesia in the apical portion of the gingiva to avoid discomfort to the patient during compression of the cementation.

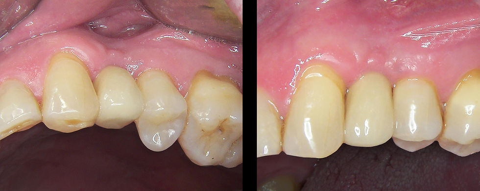
Appearance of the restoration and pericoronary mucosal tissues 6 days after placement.

Intraoral Radiographs corresponding to the day the surgical insertion, and the day of restoration placement after 3 months.