Single rehabilitation in posterior area with Prama
Dr. Paolo Nardinocchi, DT Valerio Zarroli, Camaioni Odontotecnici Laboratory, Teramo
​
The patient came to our attention with an abscess to the element 3.6, with a severe periodontal damage of the fork and a fracture of the mesial root. Following antibiotic therapy, the element was extracted; after about three months the area was characterized by a strong vertical reabsorption and it was therefore decided place a Prama implant. In the present case the Prama implant was inserted leaving the hyperbolic neck out of the bone, thus moving away from it the implant-abutment interface and favoring the thickening of the connective tissue, for an excellent and stable aesthetic outcome over time.
​
​
“The choice of Prama in this situation was essential. Using a bone level implant with a traditional prosthetic protocol, in the same situation, I would probably have had further bone loss due to the formation of a sub-crestal biological space. The convergent intramucosal Prama implant in combination with the Prama IN healing abutment, characterized by a very wide profile and by a profile which embraces the implant neck by 0.5 mm, allowed me to avoid the use of GBR techniques, thus reducing the healing time and obtaining good clinical and prosthetic results.”
cit. Dr. Paolo Nardinocchi and DT Valerio Zarroli

Initial orthopantomography: the element 3.6 shows a severe periodontal damage and an evident fracture of the mesial root. After an abscess, the patient underwent antibiotic therapy and the element was extracted.

Vestibular view 3 months after the extraction of the element: an important vertical bone resorption is clinically well visible, already evident from the pre-extraction orthopantomography.

The intraoral radiograph confirms what has been clinically observed.

The flaps are raised and the Prama implant is inserted, leaving the parabolic neck just out of the bone level, thus moving the implant-abutment interface away from bone crest.

The flaps are raised and the Prama implant is inserted, leaving the parabolic neck just out of the bone level, thus moving the implant-abutment interface away from bone crest.

Positioning of a surgical cover screw and suture.

Post-surgical radiograph.

After 2 months from the insertion of the implant, the surgical cover screw is removed and a Prama IN healing abutment is inserted, which embraces the implant neck for 0.5 mm, with the aim of conditioning the tissues.

Occlusal view 1 months after the insertion of the Prama IN healing abutment.

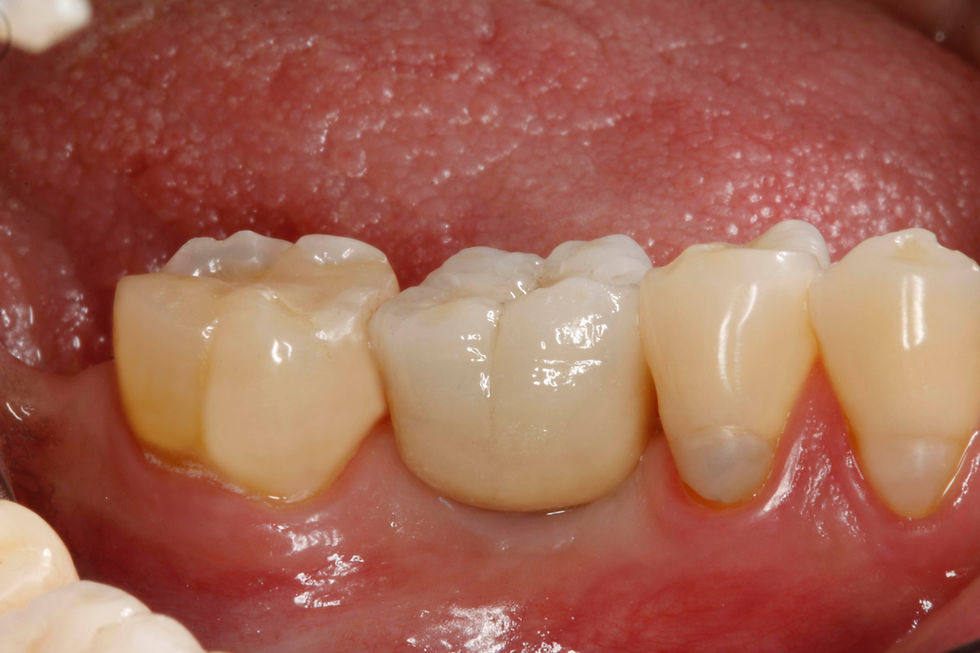
After 3 months from the surgery, the element is restored. Comparing the initial situation with that at 3 months it is evident the recovery of the vertical dimension obtained thanks to the convergent morphology of the Prama neck and its UTM surface.

The definitive crown, made of layered zirconia, is delivered from the laboratory.

Radiograph at the time of the definitive crown delivery.

Occlusal view of the definitive crown.

Lateral view of the definitive crown.