Guided surgery for the insertion of a Prama RF immediately provisionalized
Dr. Andrea D. Di Domenico, DT Maurizio Apicella, DT Alessandro Diletto, Cava De’ Tirreni (SA)
This young 23 years old patient reported the loss of the element 1.1 at the age of 13 due to a trauma, followed by repeated dental interventions in the following years, unfortunately obtaining poor aesthetic results. The repeated failures, moreover, aroused in her a strong fear and a sense of distrust such as to prevent her from smiling freely in public. The request and the aim were to improve the appearance of the smile by reducing the number of surgical sessions and the invasiveness of the intervention to a minimum. To comply with the patient’s requests, it was decided to complete in a single surgical session both the missing element restoration and the vestibular volumes increment. Once examined, the CBCT confirmed the severe bone atrophy in area 1.1, we proceeded with the planning of the insertion of a Prama RF implant with guided surgery, exploiting the convergent intramucosal neck to manage the irregular crestal morphology and at the same time to support the soft tissues. To increase the vestibular volumes an OSSIX™ Volumax membrane was inserted and the gingival morphology was conditioned by a screw-retained provisional crown. For aesthetic reasons the element 2.2 was prepared and the element 1.2 was restored.
“The convergent neck of Prama allows me to simultaneously manage the residual irregular bone levels and the surrounding pink tissues leaving room for the clot and thus favoring the formation of new gingiva.”
cit. Dr. Andrea D. Di Domenico

The wide smile immediately shows the defects in the frontal area.

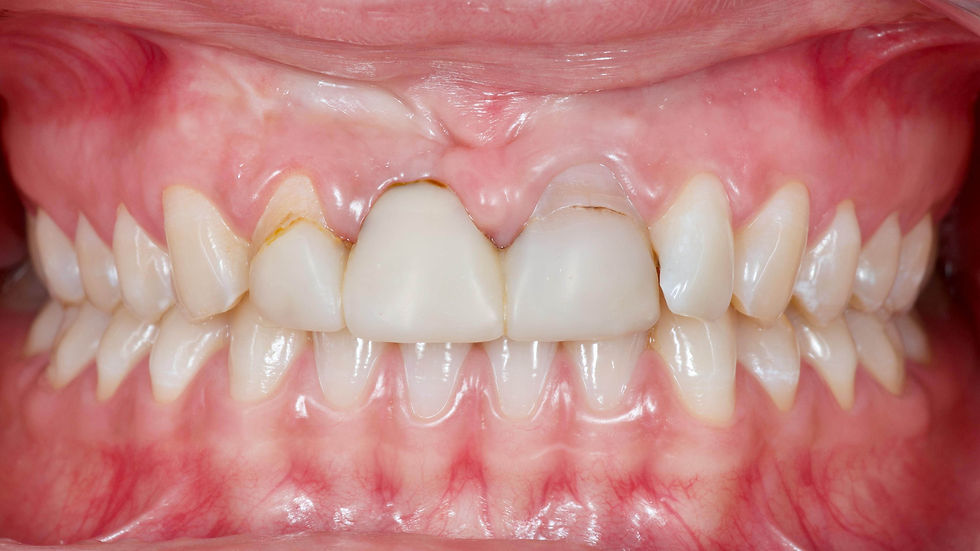
The intraoral picture highlights the resorption around the element 1.1 and the inaccuracy of the existing prosthetic restoration.

The comparison between the intraoral pictures and the bone volumes revealed at the CBCT examination highlights the severe vestibular bone atrophy and the irregularity of the marginal crest.

The comparison between the clinical picture and the diagnostic wax-up shows the ideal dental profiles and volumes providing indications on the quantity of volume that is necessary to recreate to reach the aesthetic goals.

The poor vestibular bone thickness and the need to minimize surgical invasiveness lead to opt in favor of guided surgery to insert a Prama RF implant. The choice to leave the palatal portion of the intramucosal neck in contact with the soft tissues is due to the desire to preserve as much as possible the thickness of the residual vestibular bone wall, so as to guarantee a good vascularization to the tissue that will cover it.

Surgical template positioning on the opened flap, for better soft tissue management.

Prama RF implant in place. The convergent neck allows the ability to manage the irregular residual bone levels and the surrounding soft tissues, avoiding “bone augmentation” and leaving room for the clot which will turn into new gingiva.

Radiographs and CBCT of the Prama RF implant inserted via guided surgery. The comparison between the plan and CBCT confirms the precision and the correct execution of the implant positioning.

Insertion of the OSSIX™ Volumax membrane, folded into a double layer and anchored with resorbable periosteal suture, to protect the buccal wall and provide support for soft tissues.

Clinical pictures 7 days after surgery: the sutures are removed.

Clinical picture 30 days after surgery: the tissues are healthy and well supported, even if they are not mature yet.

Clinical picture about 50 days after surgery: excellent soft tissue healing is highlighted. The OSSIX™ Volumax membrane is visible, inserted at the time of the surgery to recover bone volumes, is still visible under the soft tissue.

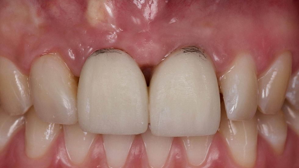
The gingival parabola of the new series of temporary crowns to be realized are outlined with the pencil.

Insertion of new temporary crowns: the aim is to better condition the soft tissues, now stable, in interproximal spaces, and to improve the aesthetics of dental elements. The spaces left will guide the gingiva towards the new morphology.

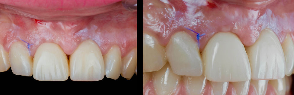
At 7 months from the surgery the tissues and the new volumes are stable and the papillae well settled: we proceed with the impression for the definitive prosthesis.

At 7 months from the surgery the tissues and the new volumes are stable and the papillae well settled: we proceed with the impression for the definitive prosthesis.

Final prostheses delivered by the dental laboratory: the shapes and volumes of the temporary crowns are respected.

Final prostheses delivered by the dental laboratory: the shapes and volumes of the temporary crowns are respected.

Clinical picture of the new volumes and of the new aesthetic profile of the patient. The profiles and the dental volumes designed on the model have been accurately replicated during the realization of the prosthesis.

At 13 months from surgery the gingiva appears pink and stable. A comparison between the digital scans of the starting and ending situations shows an increment of the vestibular tissues of about 5 mm. The result was achieved in a single surgical session, with a non-invasive approach, exploiting only the potential of the UTM surface, the convergent morphology of the intramucosal neck of Prama and the ability of OSSIX™ Volumax, now completely reabsorbed, to maintain spaces in the long term.

Final CT.

Final smile.