Multiple rehabilitation in aesthetic area with Prama implant
Dr. Xavier Vela Nebot, Dr. Xavier Rodríguez Ciurana, Barcellona, Spain
DT Javier Pérez López, Lugo, Spain
​
Female patient, 47 years old, independent contractor, always traveling for business. Very anxious and bruxist. The patient’s request was to have an aesthetic rehabilitation and no more problems with the teeth of the anterior sector, as they already underwent multiple surgeries. Being an aesthetic area, the patient required an immediate prosthetic restoration to be able to face her work commitments without interruption. After studying the case, we decided to extract all 4 incisors, which showed signs of infiltration, periapical granulomas and fistulas. We proceeded with the extraction, the immediate insertion of the implants and immediately provisionalized with temporary crowns previously prepared by the laboratory. A blood sample is taken to prepare L-PRF which will be mixed with biomaterial and used to fill bone defects. Four months after surgery the definitive impression is taken and a monolithic zirconia prosthesis vestibularly covered with ceramic veneers is produced.
​
​
“The use of Prama implants allows us to take all the advantages of the convergent morphology in the intramucosal portion, for the benefit of a soft and hard tissue regeneration that with another type of morphology we could never have. In the case presented below, in particular, Prama allowed us to design a cemented prosthesis, in order to facilitates the insertion of the artifact and optimally adapts to the patient’s occlusion.”
cit. Dr. Xavier Vela Nebot, Dr. Xavier Rodríguez Ciurana and DT Javier Pérez López

Initial clinical situation: frontal and occlusal views.

After the radiographic analysis we decide to extract the 4 incisors evidencing past multiple surgeries, some of which present infiltrations, apical granulomas and fistulas. It is also evident a fracture of the apical third of the root of the element 1.2, which seems to have already triggered a resorption process. GO TO THE VIDEO

Temporary prosthesis designed with CAD-CAM technology.

The pre-made temporary structure is planned and created in the laboratory before the surgery.

The pre-made temporary structure is planned and created in the laboratory before the surgery.

Model and temporary prosthesis positioned onto the silicone rim.

Model and temporary prosthesis positioned onto the silicone rim.

Extraction of the 4 hopeless elements and implant sites preparation.

The congruence between the surgical preparation and the correct parallelism are verified with the appropriate replicas.

Positioning of 4 Prama implants: occlusal and frontal views. GO TO THE VIDEO

Posts for cemented prosthesis in position.

The alveolar gaps are filled with bone substitute based on ß-tricalcium phosphate mixed with L-PRF.

Temporary prosthesis relined in accordance with B.O.P.T. principles.

Temporary prosthesis relined in accordance with B.O.P.T. principles. GO TO THE VIDEO

Temporary prosthesis positioning.

Tissues aspect after 15 days.

Tissues aspect after 3 months, before the definitive impression taking.

Impression taking and model for the realization of the definitive prosthetic structure.

CAD-CAM planning of the definitive prosthesis.

CAD-CAM planning of the definitive prosthesis.

Before the creation of the zirconia final structure, we verify the correct passivation through a biomedical resin model

Definitive prosthesis.

Clinical aspect at the delivery of the definitive prosthesis.

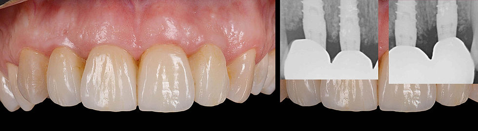
Clinical aspect and radiographic images overlap after 12 months.