Delayed implants insertion in positions 1.1 and 2.1
Dr. Stefano Conti, Furlotti Laboratory, Parma
​
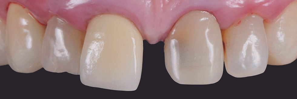
Patient M.B. 63 years old, with previous periodontal disease and grade 2 mobility on the two central incisors. The treatment plan involved the extraction of the compromised elements and the delayed insertion of two Shelta implants, with cemented metal-ceramic crowns. During the surgical phase, the low implant insertion torque and the considerably compromised situation of the alveolus in position 2.1, vertically 2 mm more reabsorbed compared to the alveolus 1.1 and with greater alveolar space, made us fear for the favorable outcome of the healing of 2.1. It was decided to maintain the implant in place and to wait for the healing period, keeping the progression of the implant in position 2.1 carefully monitored. Despite our attention, as feared, during the impression taking phase the implant in position 2.1 wasn’t stable. We opted for its removal and waited further 2 months to insert a new implant. Given the considerable difference between the bone level in position 1.1 and 2.1, we opted for the insertion of a Prama that, thanks to its neck, allowed a prosthetic compensation.
​
​
“The biologically and prosthetically correct positioning of Prama implant was possible thanks to its peculiar convergent morphology of the neck, 2.80 mm high and with UTM surface finishing. The use of a traditional bone level implant would have required regenerative techniques to compensate for the vestibular bone defect, or a more apical positioning of the implant, with consequent difficulty in aesthetic management and maintenance over time of peri-implant soft tissues.”
cit. Dr. Stefano Conti

Initial clinical situation.

The incisors are extracted, and the sockets are preserved with biomaterials and collagen.

Just after socket preservation an ovoid temporary prosthesis is cemented to the adjacent teeth for about 60 days.

Clinical image of soft tissues 60 days after extraction.

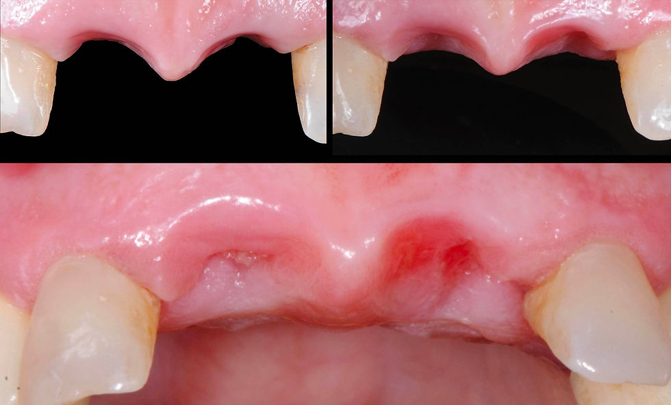
Insertion of two Shelta implants in position 1.1 and 2.1. An extremely low insertion torque is detected in 2.1. Paramarginal flap and palatal paramarginal flap are opened with vertical releasing incisions and papilla preservation. The low implant insertion torque and the considerably compromised situation of the alveolus 2.1 compared to the contralateral makes us fear for favorable healing outcome. However, we decided to wait for the healing period.

Biomaterials insertion and filling of the jumping distance and of the alveolar bone defects. Flap closure, waiting about 3 months for the second surgery.

Implant reopening 3 months after the first surgery.

Loading the implants with screw-retained temporary bridge, 3 months after the insertion. Then the impression is taken with pick-up technique. During the impression taking phase, the implant in position 2.1 is not stable. We decided to wait 2 months for the insertion of a new implant in the same position.

2 months after the removal of the previous implant in position 2.1, with an implant socket still in the healing phase and with a vertical defect of the vestibular hard tissues of about 2 mm, a Prama RF implant of 3.80 mm diameter and 11.50 mm length is inserted and left unloaded for 3 months.

The peculiar morphology of the implant neck makes it possible to compensate for the bone height difference and optimize the following prosthetic management.

The peculiar morphology of the implant neck makes it possible to compensate for the bone height difference and optimize the following prosthetic management.

After 3 months from the loading of Shelta implant in position 1.1 and of Prama implant in position 2.1, the periimplant soft tissues are healthy and stable. The apico-coronal position of the implant connection is ideal for both implants. Moreover, thanks to the Prama implant neck, 2.80 mm high, it was possible to bring the implant connection at the same level of that of the adjacent implant, without the need of regenerative techniques.

Radiograph at the time of implant insertion, next to the picture after 3 months of loading of the temporary prosthesis. The peri-implant soft tissues, that surround the Prama implant neck apically and in several points, create an additional natural barrier in the sub-critical area of the implant.

Titanium feather edge posts and B.O.P.T. prosthetic approach are used for the finalization of the definitive metalceramic cemented crown.

Comparison between the clinical initial case and 2-years follow up.

Radiographic control after 2 years: the good maintenance of peri-implant tissues is noticeable.