Immediately loaded Full Arch in mandible with Prama Long Neck
Dr. Gabriele Gori, DT Paolo Viola


Initial case: the patient arrived at our clinic removable maxillar prosthesis now in an advanced state of deterioration and a lower arch with problems such as to suggest total bonification as the best treatment plan in order to create a screw-retained solution on implants.

Lower jaw full extraction of the severely compromised elements.

Surgical preparation of the sites receiving Prama Long Neck implants

Implants placement both in native bone and in a post - extraction socket - occlusal and frontal view

Sutures around the necks of the implants to search for a primary intention healing

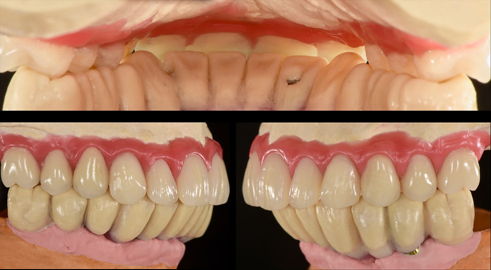
Relation between the two jaws on laboratory model

Provisional framework

Provisional prosthesis

Provisional prosthesis polished

Provisional prosthesis at delivery and x-ray check

4 months post-operative impression

Case study in the articulator for the assembly of the definitive mandibular Toronto Bridge and the new removable upper prosthesis

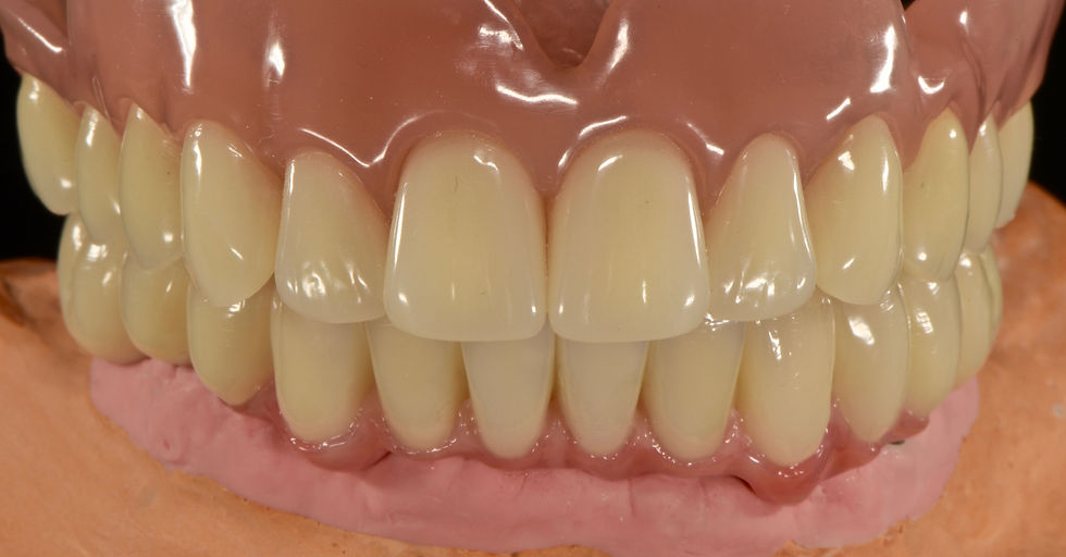
Upper overdenture: mounting elements with wax

Occlusal view of the lower Toronto Bridge: screw passages are in favourable prosthetic positions

Vision of the interrelationships between jaws: the II prosthetic class was brought to the I class in the cusp-fossa so that no movements of the upper prosthesis were generated

Cobalt chrome bases used for lab scanning.

Milled structure in cobalt chrome soldered to the preformed bases using a voltaic arc

Verification of interarch relations on the model

Finalizzation of the upper overdenture and the lower Toronto Bridge in cobalt chrome and molded composite

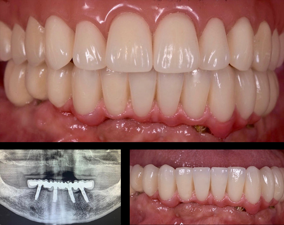
Details of the lower Toronto bridge

Details of the lower Toronto bridge

Relationship between the lower Toronto Bridge and the neck of Prama Long Neck implants

Delivery of both final prosthesis