top of page
Direct bimaxillary rehabilitation on Prama implant
Dr. Costantino Vignato, Dr. Giuseppe Vignato, DT Riccardo Finotello, Vicenza
​
Male patient with severe bone resorption in both arches. Complete rehabilitation of both arches with a composite Toronto prosthesis directly screw retained on Prama implants. Following the extraction of the damaged teeth, five Prama RF implants are inserted in the upper arch while five Prama and Prama RF implants are inserted in the lower arch.
​
​
“There are at least three reasons to consider Prama a more effective implant for complex rehabilitations of a dental arch:
​
-
The respect of crestal bone anatomy
-
The conical emergence adaptation to bone irregularities
-
No need to use intermediate angled abutments
This means a minimally invasive surgery, faster healing and still there is the possibility to insert the implants in an angled position. The rehabilitation of a dental arch on Prama implants allows the clinician to set the prosthetic structure at a distance of at least 2.8 mm from the osseointegration area, thereby forming a gingival protection area and a soft tissue support capable of guaranteeing easy cleaning and aesthetic stability over time.
Moreover, combining the gingival healing potential on the convergent neck with the use of modern connective membranes, now it is possible to obtaine prostheses which are ‘ALL WHITE’ or with a minimal portion of pink, with a minimally invasive approach.”
cit. Dott. Costantino e Dott. Giuseppe Vignato

Image courtesy of: Dr. Costantino Vignato, Dr. Giuseppe Vignato
Initial situation: bone resorption is evident both in the maxilla and mandible.

Image courtesy of: Dr. Costantino Vignato, Dr. Giuseppe Vignato
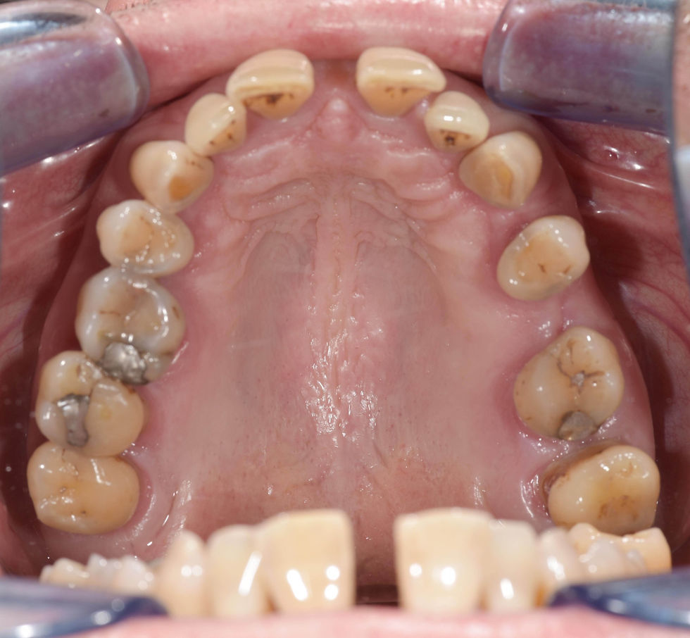
Occlusal view of the preoperative case in which the resorption, both vestibular and lingual, of the lower arch is evident.

Image courtesy of: Dr. Costantino Vignato, Dr. Giuseppe Vignato
The movement of elements 2.4 and 2.6, following the loss of 2.5, also is noticeable.

Image courtesy of: Dr. Costantino Vignato, Dr. Giuseppe Vignato
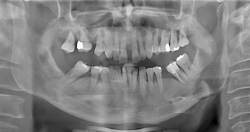
Initial radiographic control.

Image courtesy of: Dr. Costantino Vignato, Dr. Giuseppe Vignato
Open tray impression with Pick-up transfer.

Image courtesy of: Dr. Costantino Vignato, Dr. Giuseppe Vignato
Open tray impression with Pick-up transfer.

Image courtesy of: Dr. Costantino Vignato, Dr. Giuseppe Vignato
Clinical situation 3 months after surgery in the upper and lower arch.

Image courtesy of: Dr. Costantino Vignato, Dr. Giuseppe Vignato
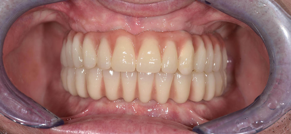
Final aspect of the rehabilitation.

Image courtesy of: Dr. Costantino Vignato, Dr. Giuseppe Vignato
Final radiograph.
bottom of page