Upper jaw rehabilitation of with immediate Prama RF implants immediately loaded
Dr. Leonello Biscaro, Adria (RO), DT Massimo Soattin, Este (PD)
​
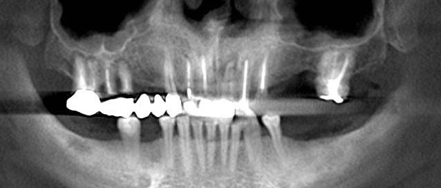
The 57-year-old patient, smoker, came to our observation in excellent general health conditions, needing for rehabilitation of the upper jaw for mobility of the existing prosthesis in the three planes of the space. The mobility was due to secondary caries of the natural posts. The patient’s primary necessity, in addition to the obvious improvement in aesthetics and function, was to avoid the use of removable prostheses, even as temporary solutions. The relevant data of the objective examination were: skeletal class I, absent superior dental exposure with lips at rest, altered upper occlusal plane with reference to the facial parameters, gummy smile, more accentuated in the lateral sectors. During the first visit, a CBCT was performed to evaluate the quantity of residual bone and to have an initial anatomical evaluation of the feasibility and risks of implant therapy: while showing the presence of important periapical lesions in correspondence to the 1.7-1.6 and 2.2 elements, the residual anatomical situation was favorable to an immediate implant and immediate loading approach. During the first visit, the patient was informed about the nature of implant therapy, its risk factors, the importance of smoking cessation and to undergo a rigorous hygienic maintenance protocol in order to enjoy excellent long-term outcomes that implant therapy is able to guarantee. At the end of the first visit the possibility not only to avoid the use of removable temporary prostheses, but also to proceed with the extraction of the remaining teeth, the immediate insertion of the implants and their immediate loading with a fixed screwed prosthesis was also explained to the patient. Thanks to a variant of the single-model technique, that we have been using for years for immediate loading management, it was possible to load the prosthesis immediately at the end of the surgery. This provisional rehabilitation was replaced with a metal-porcelain prosthesis 4 months after surgery, once the osseointegration of the implants occurred. The choice of tapered implants (Prama RF) increased the primary stability, necessary when immediate positioning of the implants and their immediate loading is expected.
Therapy management
Like all cases of total or potential edentulism that must be treated with immediate loading implants, the management of the therapy is divided into three distinct steps:
-
the pre-surgical phase - prosthetic, clinical and technical relevance
-
the surgical phase - surgical and prosthetic relevance, both clinical and technical
-
the post-surgical phase - prosthetic clinical relevance.
​
Pre-surgical phase
It aims to plan the case from the prosthetic and then surgical point of view, but also to construct the transfer plate for immediate loading management and to realize the temporary prosthesis to be converted into an implant-supported screw retained prosthesis. The intra- and extra-oral images were captured, and the initial wax impressions were taken of the existing vertical dimension to mount the upper and lower model in centric relation, in this case according with their maximum intercuspation. Both models were mounted on the articulator with the aid of a facebow transfer. Then the dental technician, on the basis of the information obtained from the analysis of the photographs, performed the waxing. In this case, to obtain the elongation of the teeth, it was necessary to establish the position, length, shape and size starting from the incisal edge of the two central incisors. Then it was possible to intervene on the incisal plane and on the relative occlusal plane.
To be able to make any necessary changes, the wax-up was converted into a mock-up to assess directly with the patient the effect of the elongation of the teeth of the upper arch and the leveling of the upper occlusal plane to make any further changes. When trying the mock-up on the patient, the apical extension of the aesthetic area is measured, and this value is reported on the model. In this specific case, a CAD-CAM temporary structure was built to take advantage of the best physical and mechanical properties of the milled PMMA resin and to meet the request to deliver the provisional the same day of the surgery. The first wax-up is then scanned, and the cast is discarded up to the mark made at the smile line (aesthetic area). A new scan is then performed to create the file that will be milled. On the obtained structure it is possible to remove material in correspondence of the prosthetic flange and to fill it with palate resin for mobile prosthesis.
​
Surgical phase
In order to deliver the prosthesis immediately after surgery, the surgical and prosthetic (clinical and technical) phases must overlap.
Surgery always begins in the anterior sector and, after positioning the two central implants in positions 1.2 and 2.2, the relative transfers were connected to the transfer plate while keeping it in position on the occlusal surface of the existing prostheses. The plate with the transfers was delivered to the dental technician. The dental technician fastened the analogs to the transfers and repositioned the transfer plate, then he incorporated the analogs of the anterior implants in the same model used to shape the temporary rehabilitation. On the basis of the overall dimensions assessed with the silicone duplicate of the provisional prosthesis, the abutments were screwed to the head of the analogs; the temporary titanium sleeves, fastened to the abutments and appropriately sized, were connected with resin to the provisional prosthesis, kept perfectly in position in the model thanks to the marks previously placed: the prosthesis is being transformed into an implant-supported screw retained prosthesis.
​
Description of posterior surgery
While the dental technician works in the laboratory on the anterior sector of the model, surgery has continued in the posterior sectors: 4 Prama RF implants were positioned in sites 1.7-1.5-2.5 and 2.7. A 30°angled abutment was fastened to the tilted implant in position 2.5. Three transfers, screwed to the head of the implants in positions 1.5-1.2-2.2 and 2.7, were connected together with pattern resin and were also connected to the transfer screwed to the angled P.A.D. in position 2.5 with the final aim to build a rigid ferule. A second rigid ferrule is made in the same way and they were both brought to the laboratory. Large healing screws were tightened onto the implants and the flaps were sutured. The transfers were fixed onto the analogs, the cast was ditched at the analogs position. Taking advantage of the position of the anterior analogs, the posterior ones were incorporated into the model that has become at this point the working model. The position of the analogs was checked with the second ferule. As the temporary before ditching had been built up to the fifth elements, it was decided not to load the implant in position 2.7.
​
Post-surgical phase
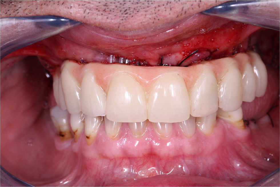
One hour after the surgery the abutments were fastened as indicated by the dental technician and the temporary prosthesis was screw retained into the patient mouth, making the minimal occlusal adjustments where necessary. After 4 months, once the osseointegration of the loaded and unloaded implants was verified, definitive impressions were taken, and a hybrid metal-ceramic prosthesis was made with artificial tissue to replace the orthopedic component of rehabilitation, well integrated into the patient facial context.
​
​
“In this case the use of Prama RF implants with supra-crestal positioning of the neck has been planned: the rationale for this choice was the biological advantage resulting from the supracrestal positioning of the microgap that allows the restoration of the biological width avoiding the crestal bone reabsorption usually seen around bone level implants.”
cit. Dr. Leonello Biscaro

Initial case.

Initial orthopantomography.

Model obtained from initial impressions, mounted in the articulator.

Model obtained from initial impressions, mounted in the articulator.

Model obtained from initial impressions, mounted in the articulator.

Model obtained from initial impressions, mounted in the articulator.

Diagnostic wax-up: the incisal margin is modified to mount the models in centric relation with the maximum intercuspation.

Diagnostic wax-up: the incisal margin is modified to mount the models in centric relation with the maximum intercuspation.

To achieve tooth elongation it is necessary to establish position, length, shape and size starting from the incisal edge of the two central incisors.

To achieve tooth elongation it is necessary to establish position, length, shape and size starting from the incisal edge of the two central incisors.

The wax-up is converted into a mock-up to assess the effect of tooth elongation directly with the patient, to be able to make any necessary changes.

When trying on the mock-up, the apical extension of the aesthetic area is measured, and that measurement is reported on the model.

When trying on the mock-up, the apical extension of the aesthetic area is measured, and that measurement is reported on the model.

When trying on the mock-up, the apical extension of the aesthetic area is measured, and that measurement is reported on the model.

The first wax-up is then scanned, and the cast is discarded up to the mark made at the smile line (aesthetic area).

A new scan is then acquired to create the temporary file that will be milled in PMMA.

PMMA temporary prosthesis obtained with CAD-CAM technology.

PMMA temporary prosthesis obtained with CAD-CAM technology.

PMMA temporary prosthesis obtained with CAD-CAM technology.

PMMA temporary prosthesis obtained with CAD-CAM technology.

On the temporary prosthesis it is possible to remove material in the area of the prosthetic flange and fill with palate resin for mobile prosthesis.

Surgery always begins in the anterior sector and, after placing the two central implants in positions 1.2 and 2.2, the relative transfers have been connected to the transfer plate kept in position on the occlusal surface of the existing prostheses. GO TO THE VIDEO

The dental technician fastens the analogs to the transfers and repositions the transfer plate, then he incorporates the analogs of the anterior implants in the same model used to shape the temporary rehabilitation.The abutments are fastened to the head of the analogs; the temporary titanium sleeves, are connected with resin to the provisional prosthesis the prosthesis is being transformed into an implant-supported screw retained prosthesis GO TO THE VIDEO

4 Prama RF implants are positioned in sites 1.7-1.5-2.5 and 2.7. A 30°angled abutment is fastened to the tilted implant in position 2.5. Three transfers, screwed to the head of the implants in positions 1.5-1.2-2.2 and 2.7, are connected together with pattern resin and are also connected to the transfer screwed to the angled P.A.D. in position 2.5 GO TO THE VIDEO

Large healing screws are inserted onto the implants and flaps are sutured. GO TO THE VIDEO

The transfers are fixed onto the analogs, the cast is ditched at the analogs position. Taking advantage of the position of the anterior analogs, the posterior ones are incorporated into the model that has become at this point the working model. The position of the analogs is checked with the second ferule. As the temporary before ditching was built up to the fifth elements, it is decided not to load the implant in position 2.7. GO TO THE VIDEO

After an hour from surgery, the abutments are screwed as indicated by the dental technician and the temporary prosthesis is screwed into the patient’s mouth making the minimum necessary occlusal adjustments.

After 4 months, once the osseointegration of the loaded and unloaded implants is verified, definitive impressions are taken. An hybrid metal-ceramic prosthesis is made with synthetic tissue to replace the orthopedic component of the restoration, well integrated into the patient’s facial context.