Full arch rehabilitation with Prama RF implants
Prof. Antonio Barone, Geneve, Switzerland
Dr. Fortunato Alfonsi, Domodossola (VCO)
DT Marco Stoppaccioli, L’Aquila
​
The patient, 50 years old, came to our observation with the request for a total rehabilitation of the oral cavity both from a functionally and aesthetic point of view. The maxillary arch presented with severe periodontal disease, with the presence of deep periodontal pockets, severe mobility, bleeding on probing and recurrent abscesses. The aim of our rehabilitation was to achieve perfect biomimesis, through prosthetic shapes harmonizing with the natural aesthetics of the patient.
​
​
“The biomimetic need of this complex case led us to the realization of full arch prostheses with profiles closely reproducing the shapes, the phonetics and the natural occlusion of the patient. This result can be obtained only with implants that allow to draw emergence profiles, which are aimed at that specific clinical indication, at that specific aesthetic zone, at that specific diagnostic wax-up, which means extremely personalized. Prama allows this, to individualize every single implant-prosthetic project. It is an extremely versatile implant and thanks to its potential it allows us to design extremely customized prostheses.”
cit. Prof. Antonio Barone, Dr. Fortunato Alfonsi and DT Marco Stoppaccioli

Initial orthopantomography. Superior teeth are all affected by severe periodontal disease, severe mobility, deep periodontal pockets, bleeding on probing, recurrent abscess and vestibular migration of the anterior dental sector, that make the prognosis of most of the teeth unfavorable.

Clinical pre-operative extra-oral image of the perioral area.

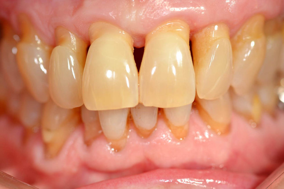
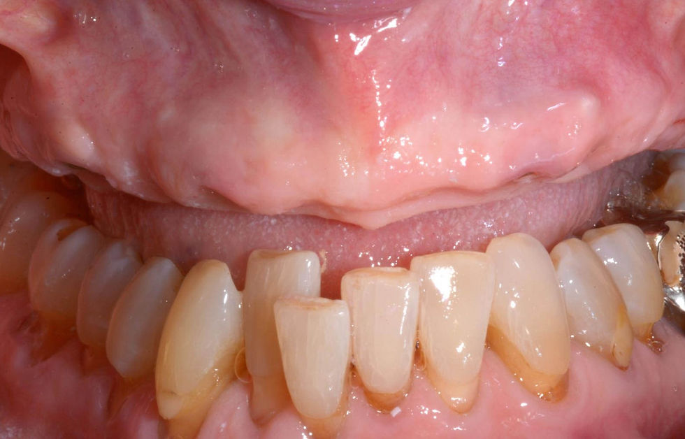
Clinical pre-operative intraoral images that show the vestibular migration of the natural teeth.

Clinical pre-operative intraoral images that show the vestibular migration of the natural teeth.

Clinical pre-operative intraoral images that show the vestibular migration of the natural teeth.

Insertion of Prama implants in the lateral and posterior sectors.

Insertion of Prama implants in the lateral and posterior sectors.

Implants inserted and Prama IN healing abutments in place.

Prama implants inserted in the anterior sector.

Sutures after the insertion of Prama implants. On the right side: Prama IN healing abutments that embrace the implant neck for 0.5 mm; on the left side: traditional healing abutments that close on the implant platform.

Follow up orthopantomography 3 months after implant insertion.

Implant impression with Pull-up transfers.

Temporary prosthesis reinforced with Trilor Arch® system in glass fiber.

Healing of the peri-implant soft tissues.

Final impression.

Final impression.

Prama IN customized abutments.

Details of the Prama IN customized abutments.

Details of the Prama IN customized abutments.

Initial scan of the master model with customized abutments and evidence of the gingival profile.

Wax-up scan and digital creation of the zirconium structure.

Zirconium-ceramic definitive prosthesis.

Zirconium-ceramic definitive prosthesis.

Crowns/posts proportion, visible during the insertion of the crowns.

Crowns positioned deeply onto the abutments: note the emergent profile and anatomy. The use of Prama IN abutments allows to obtain a ferule on the neck of the implant at 0.5 mm and to have a design adaptable to the specific clinical situation.

Clinical frontal image before the insertion of the definitive prosthesis.

Detail of the posts in place.

Definitive prosthesis in place.

Lateral right view of the definitive restoration.

Lateral right view of the definitive restoration.

Lateral left view of the definitive restoration.

Lateral left view of the definitive restoration.

Final radiographic examination with definitive prosthesis in place.